- HOME
- 症例紹介
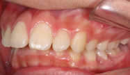
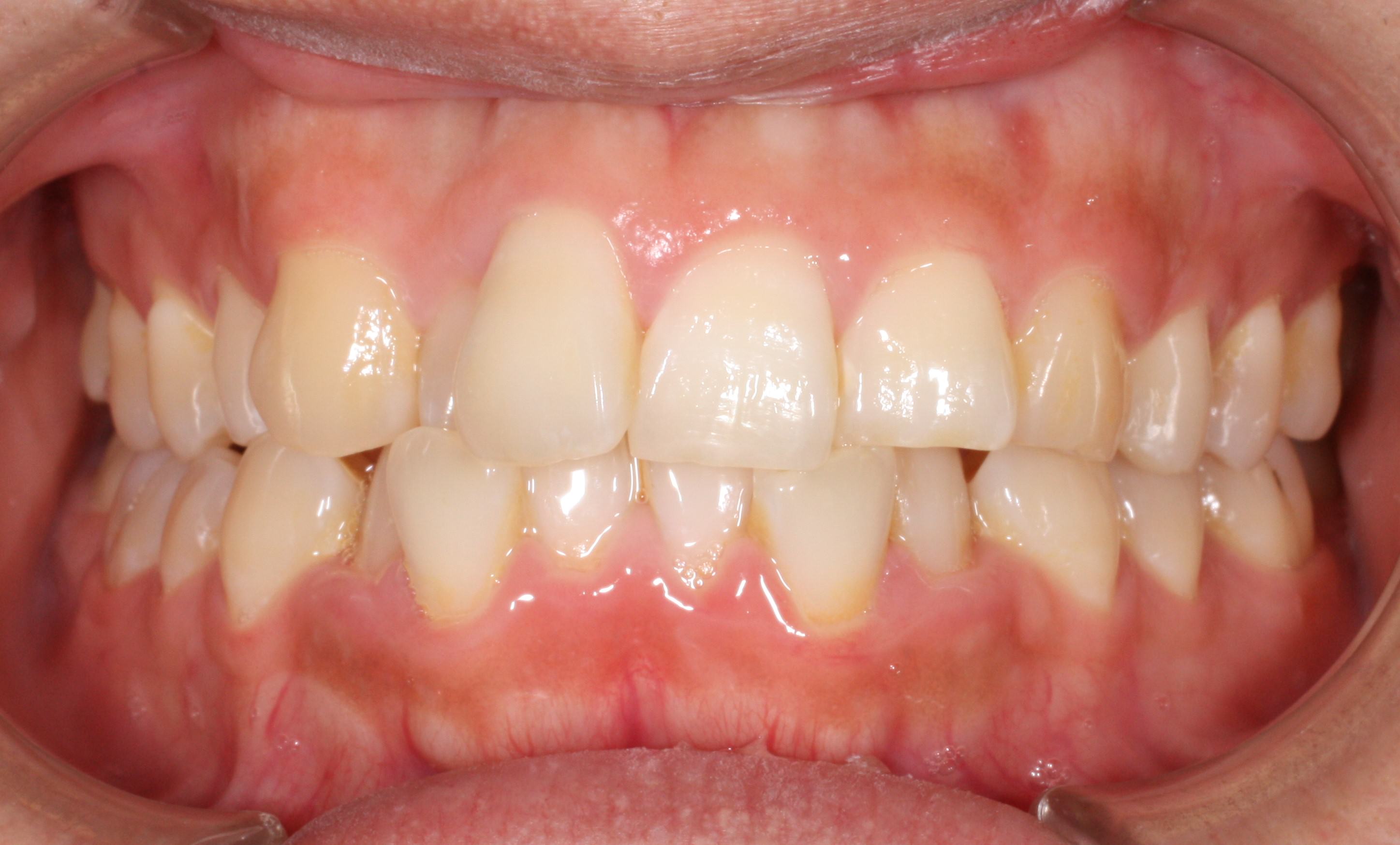
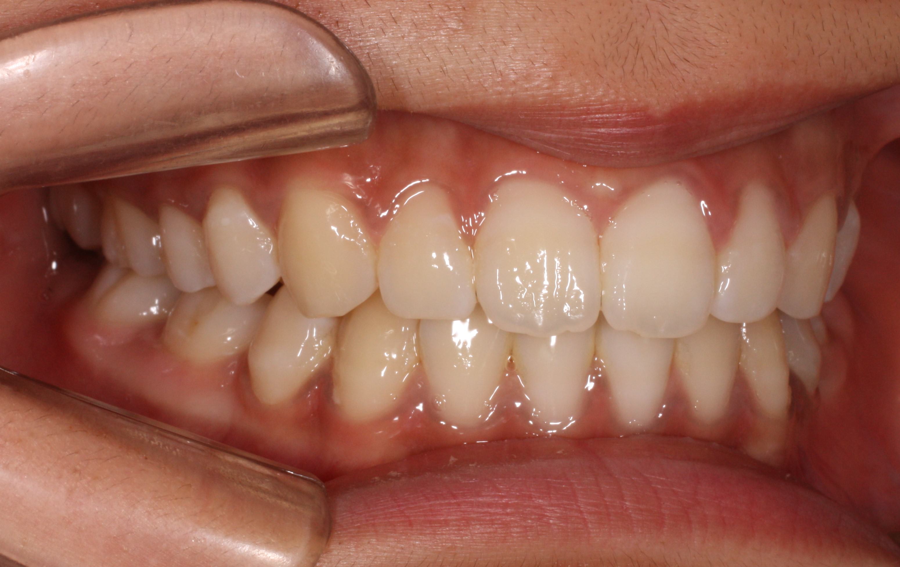
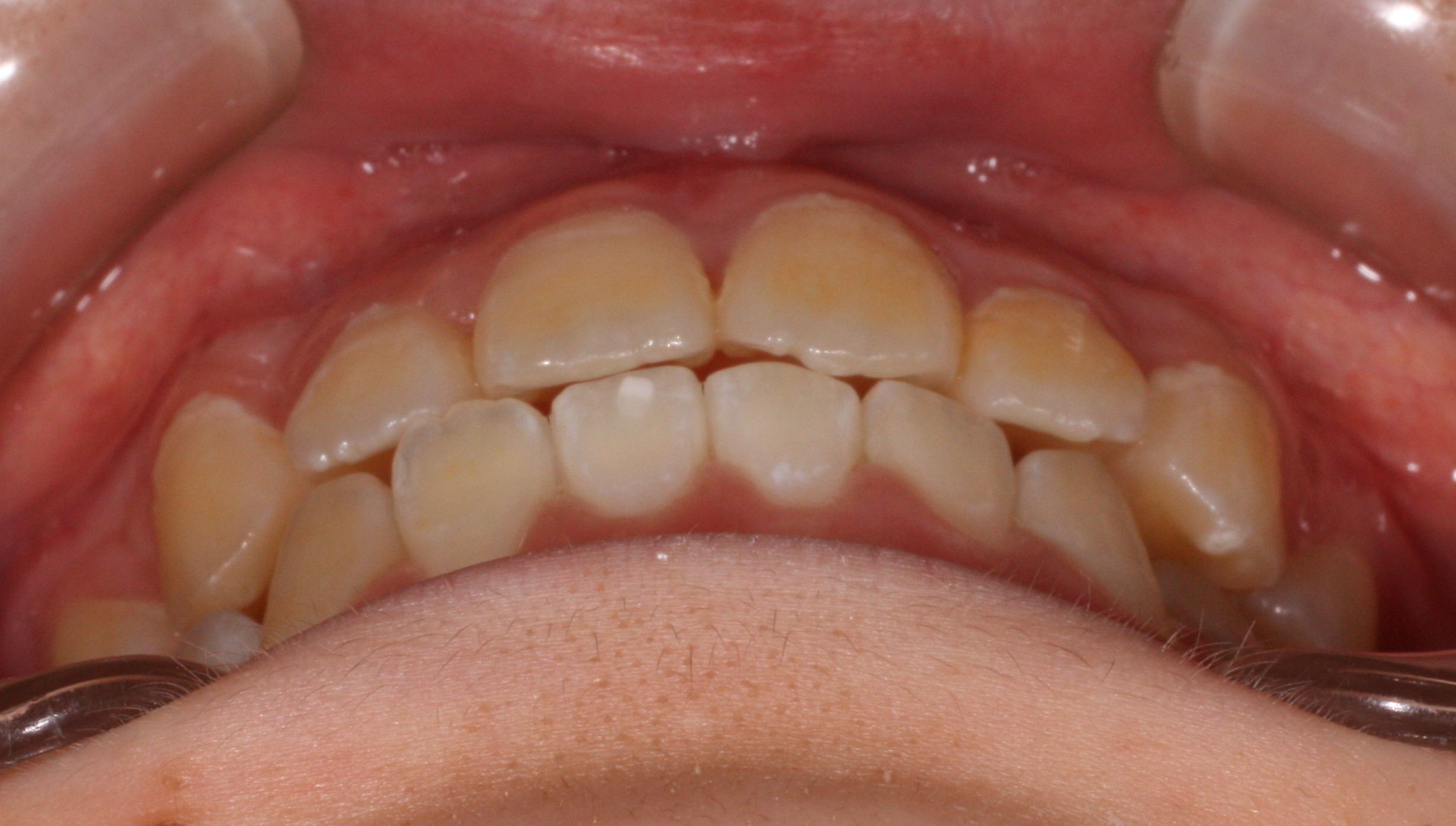
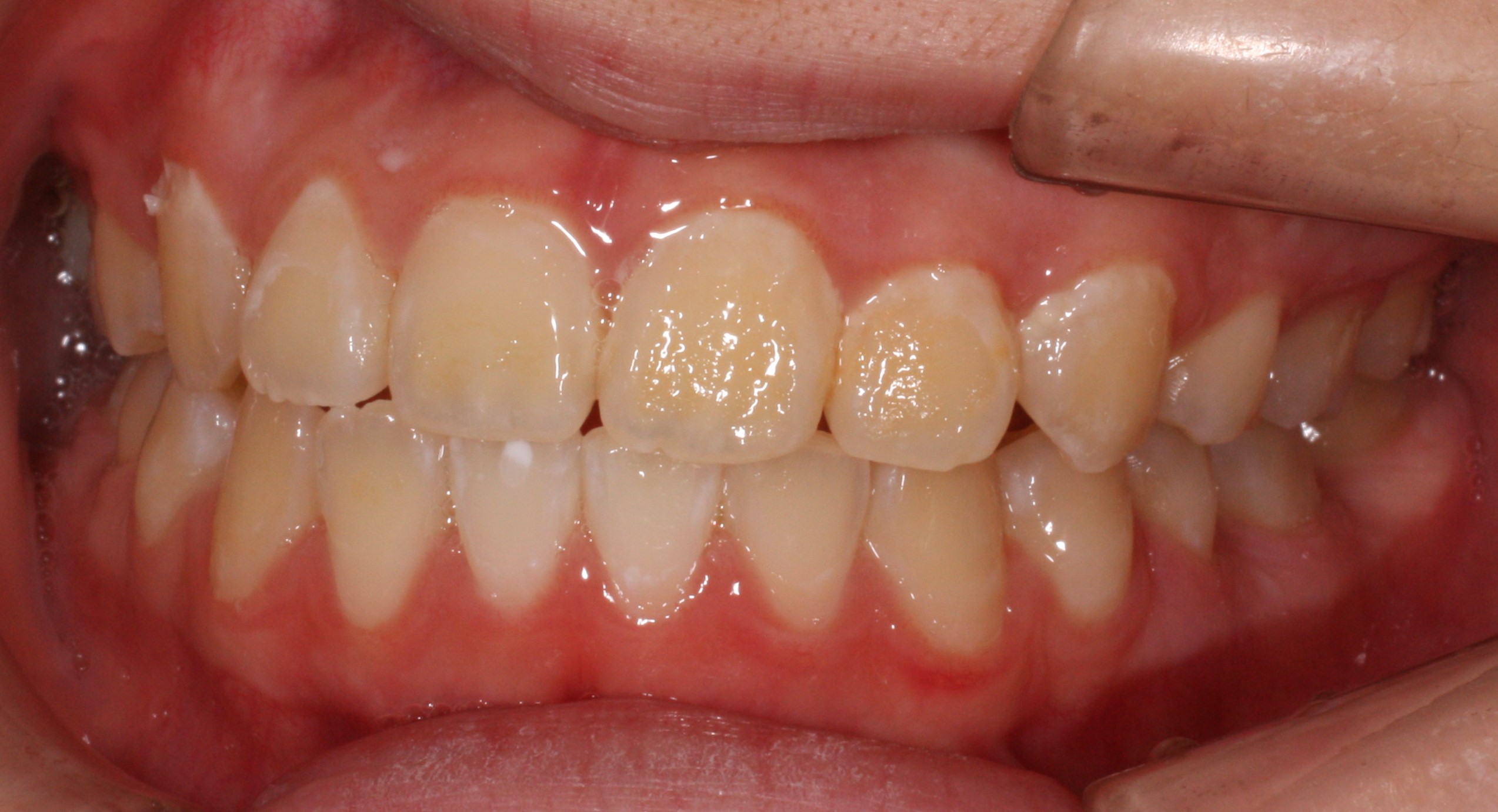
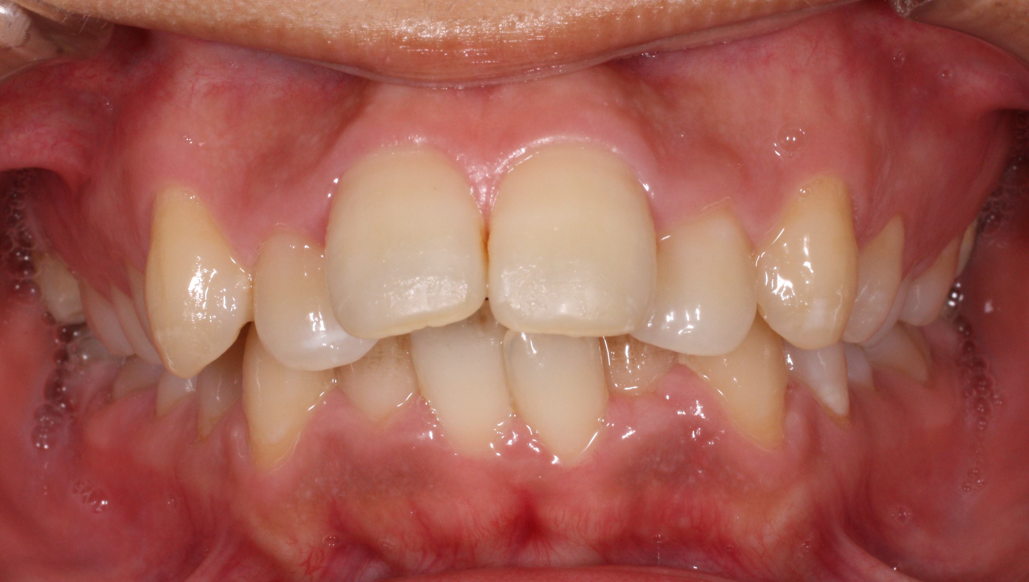
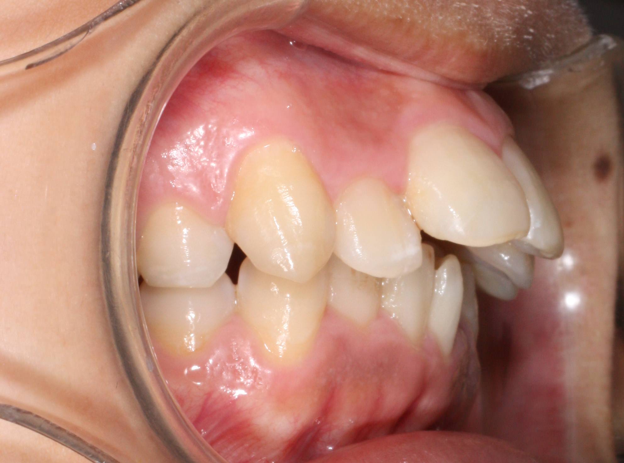
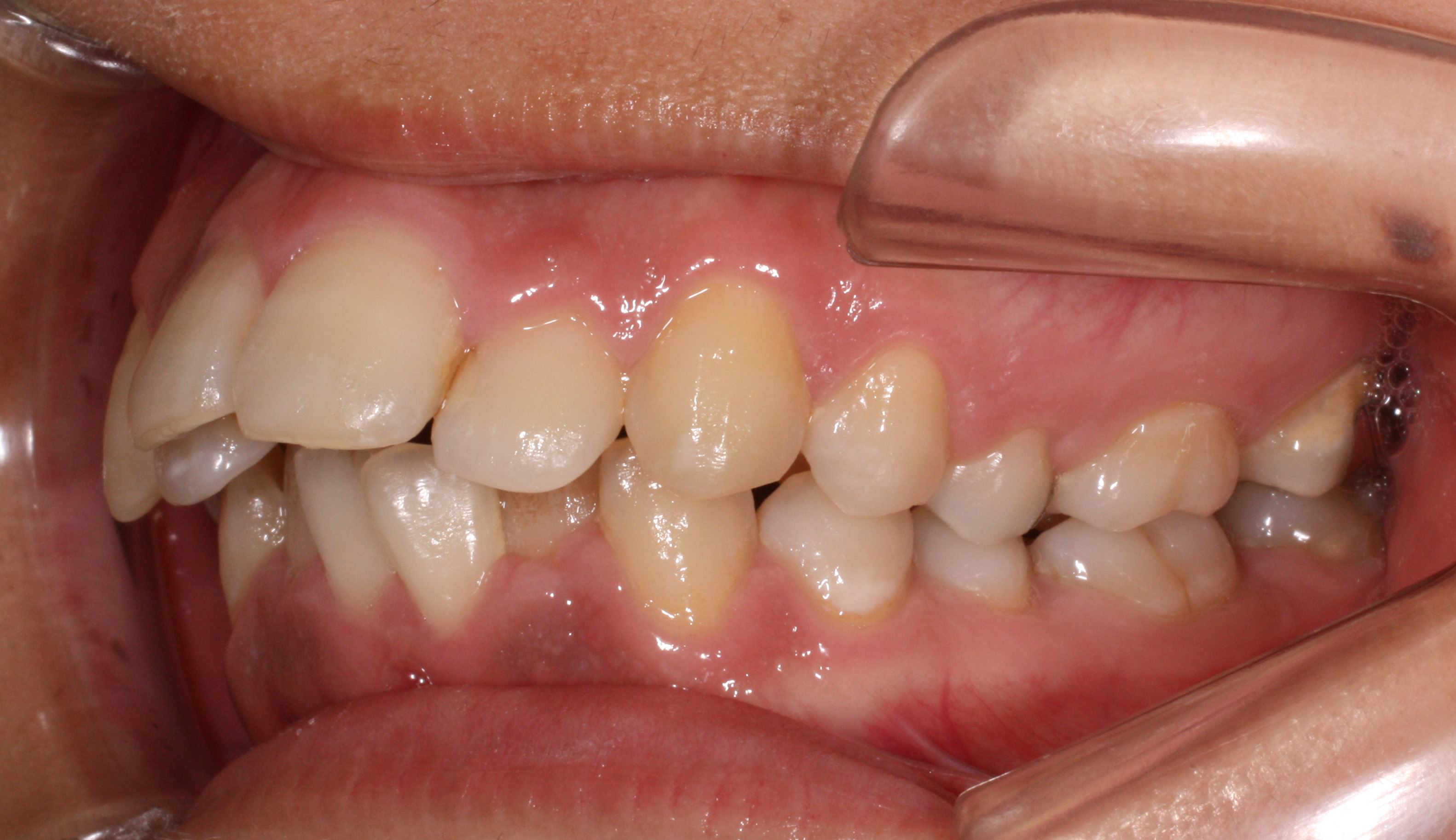
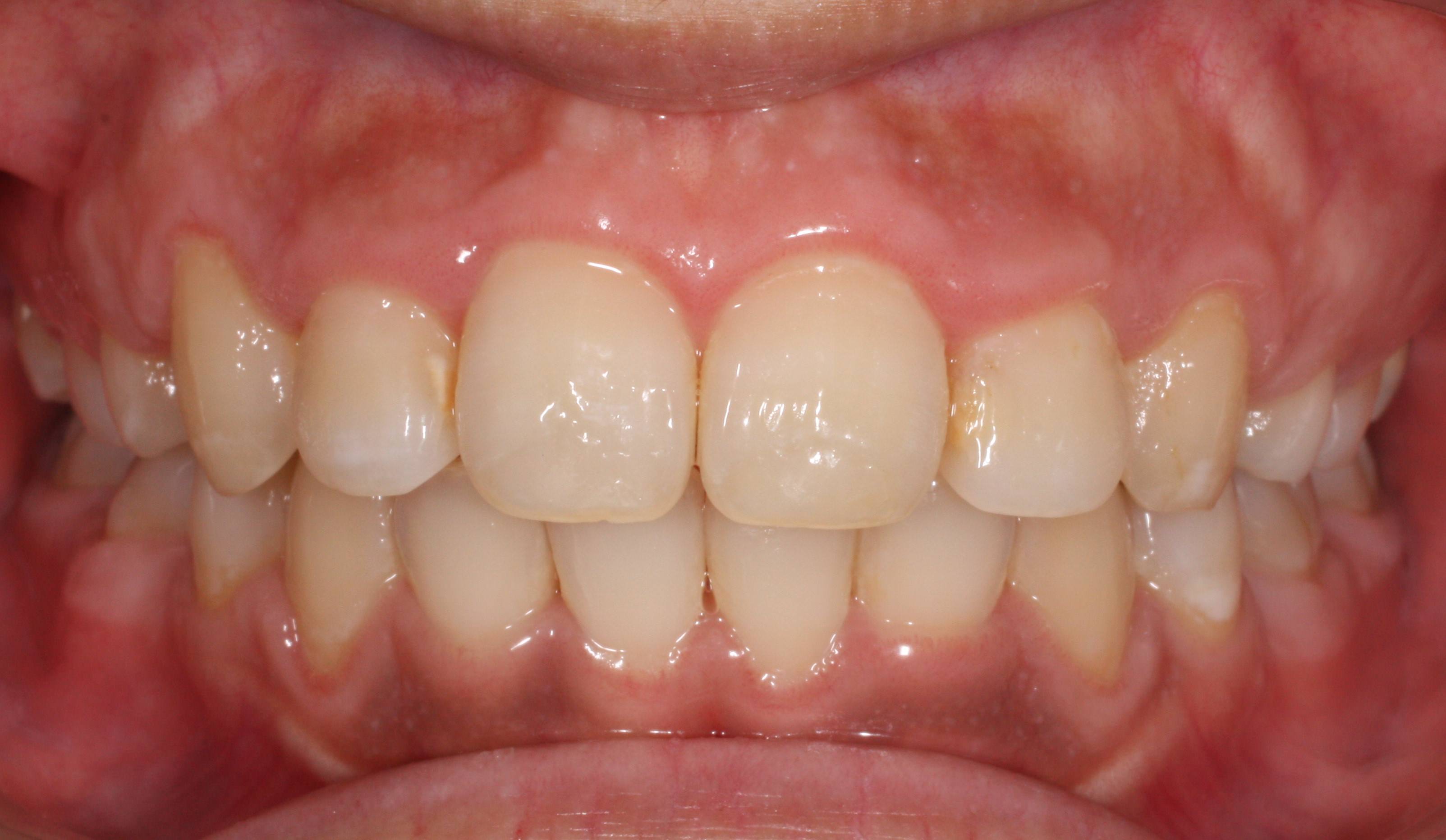
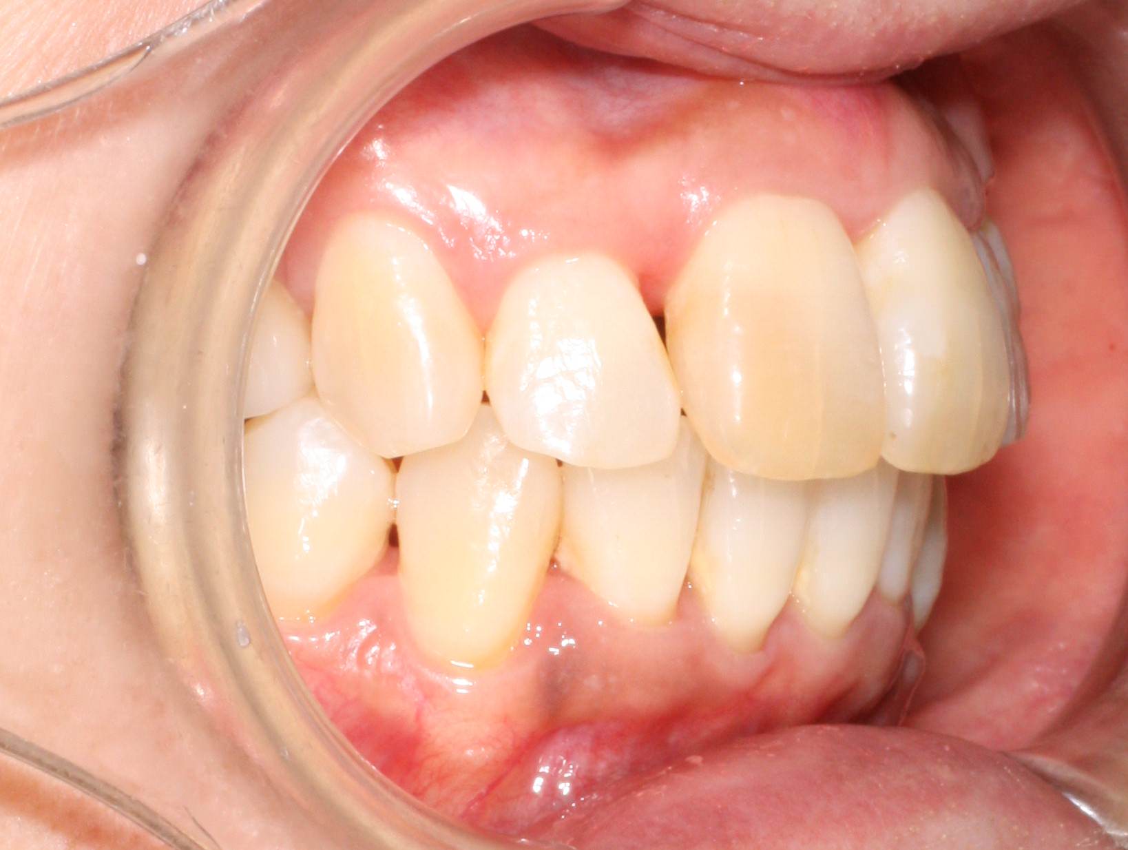
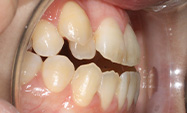
治療症例①
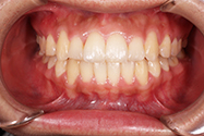
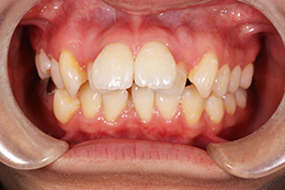
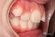
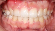
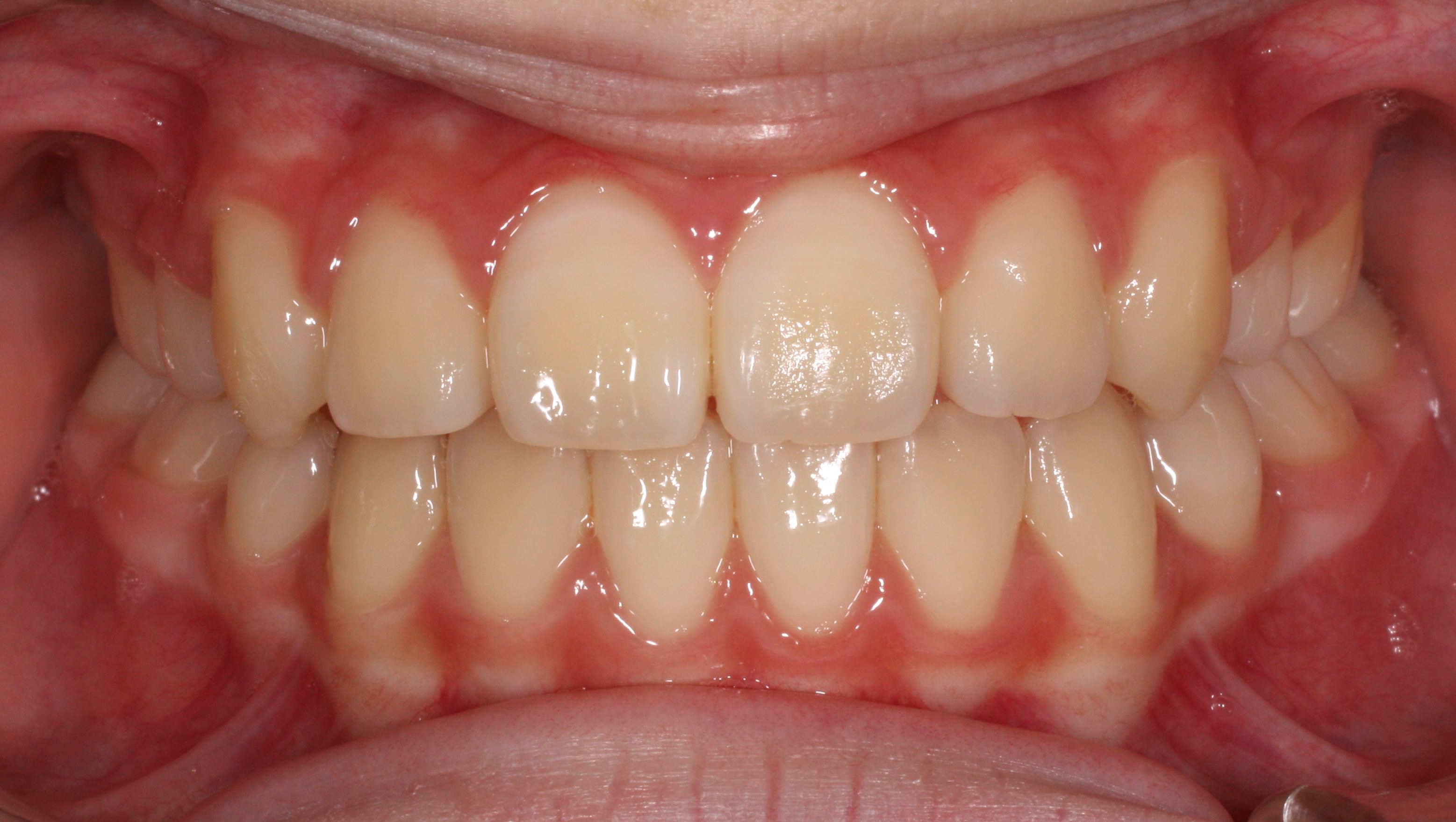
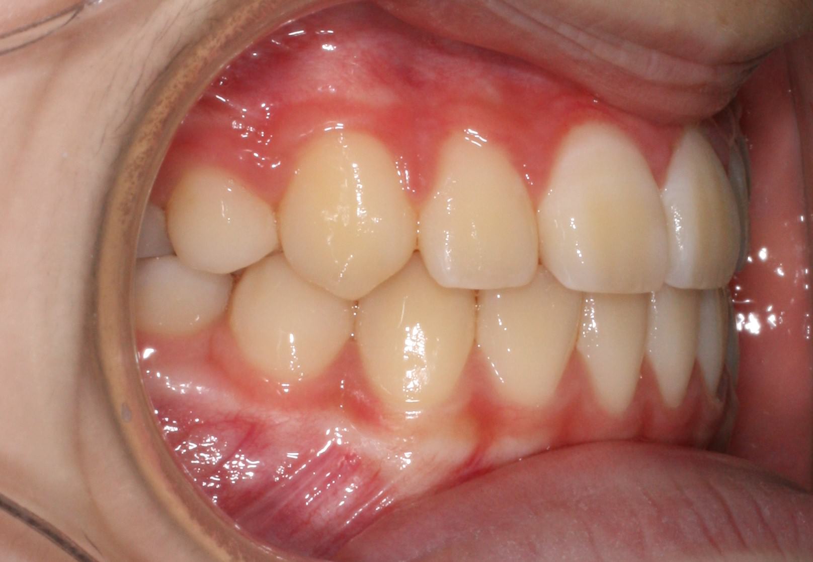
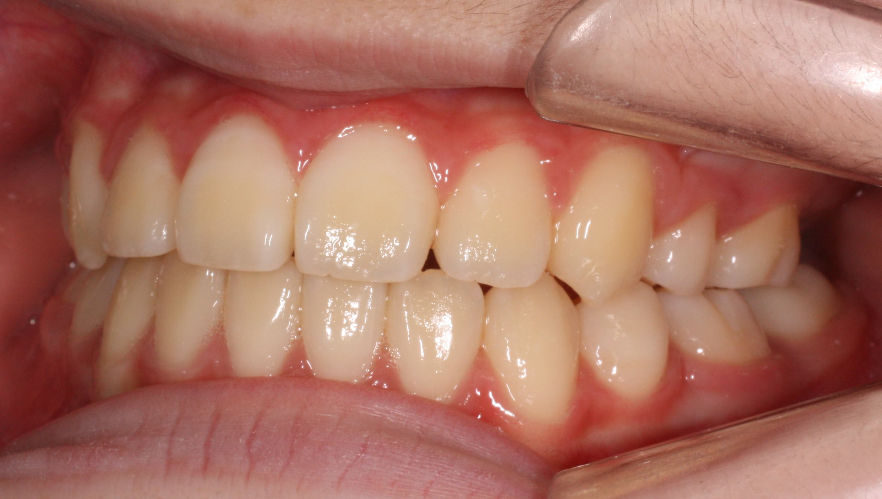
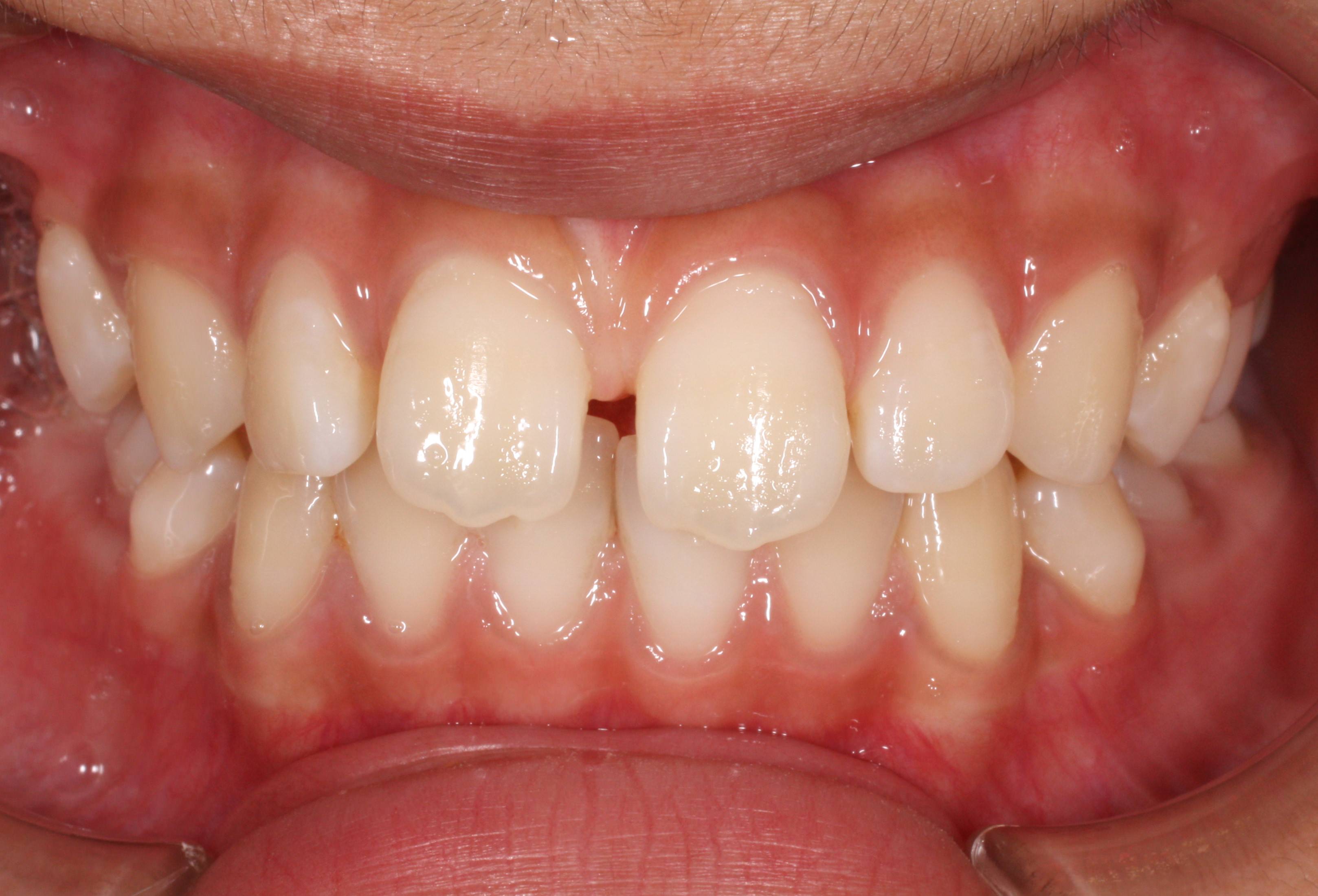
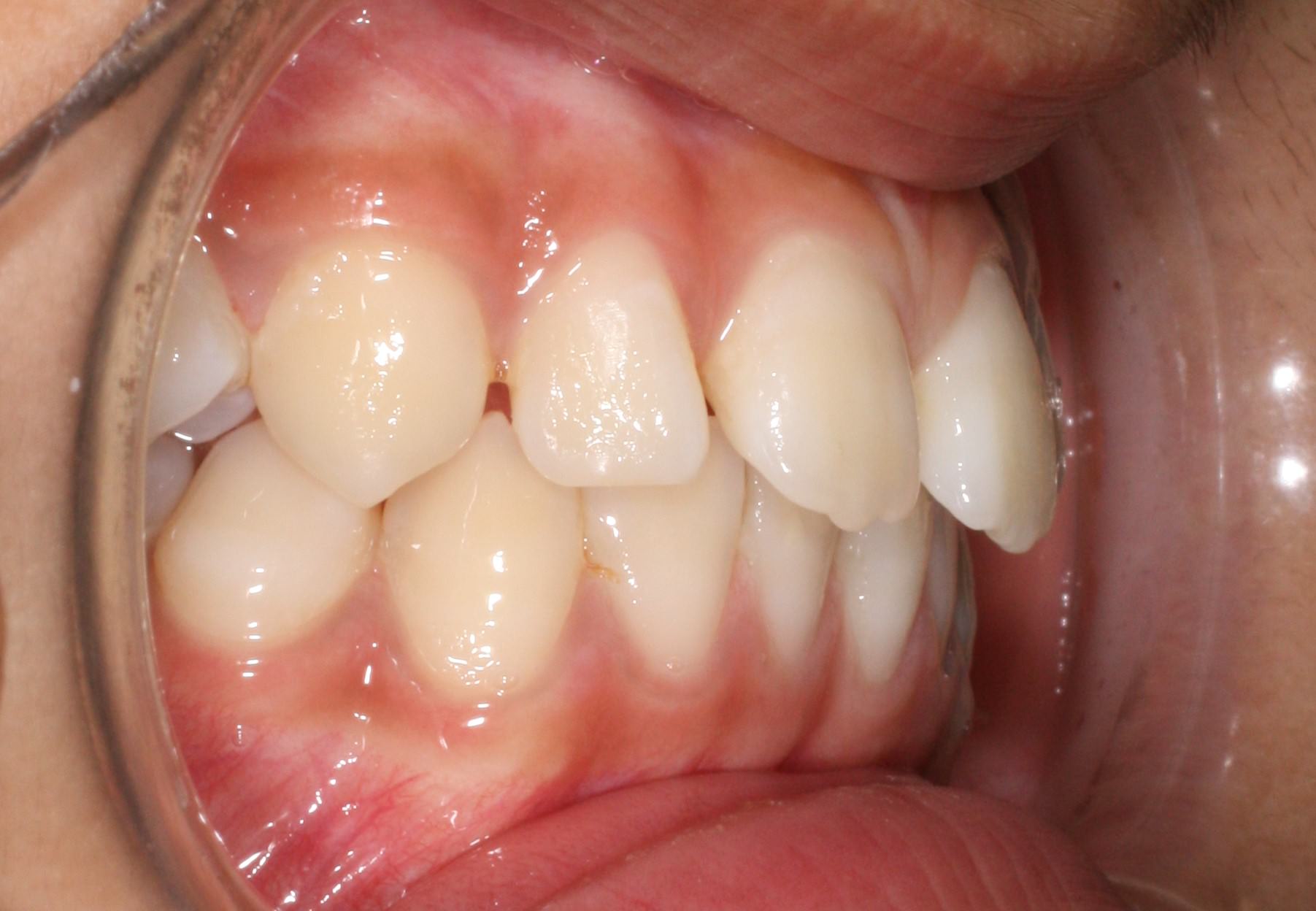
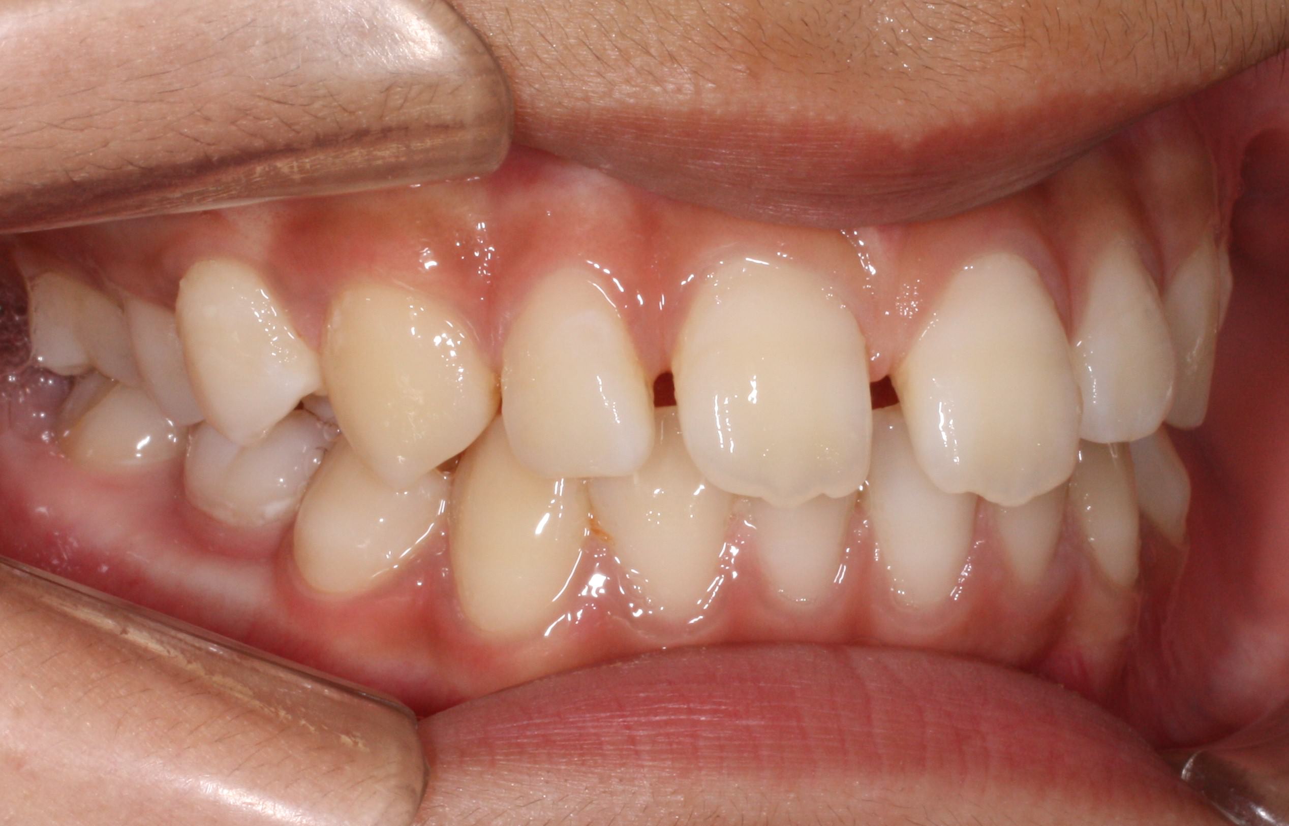
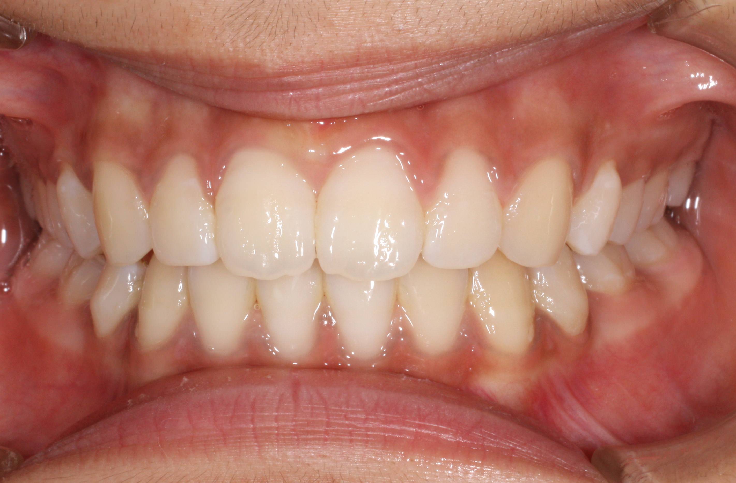
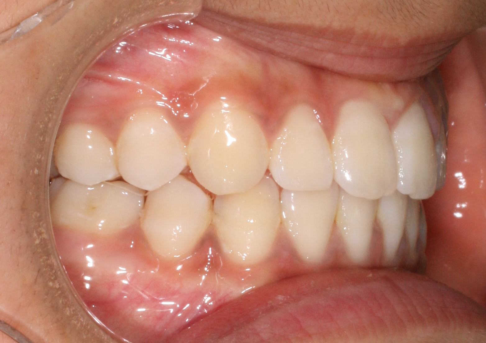
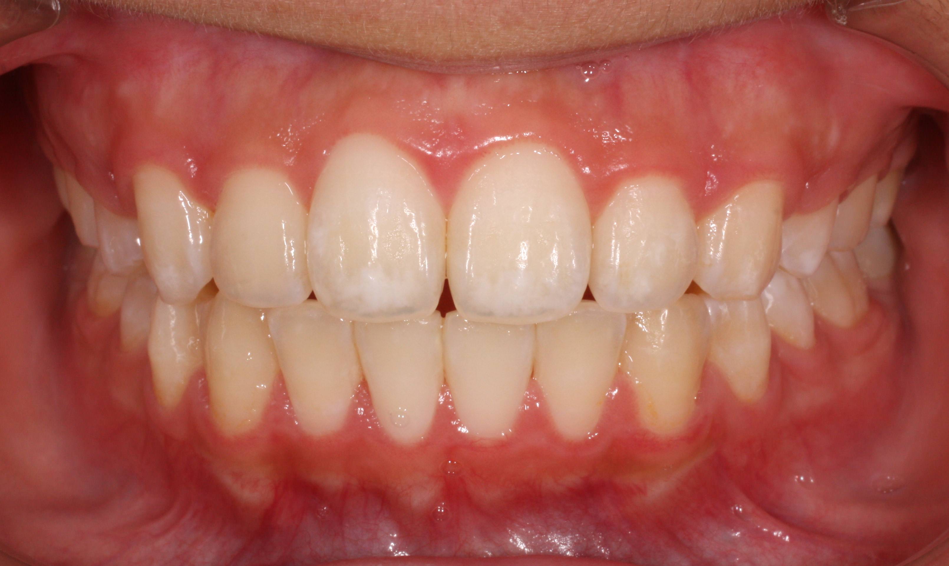
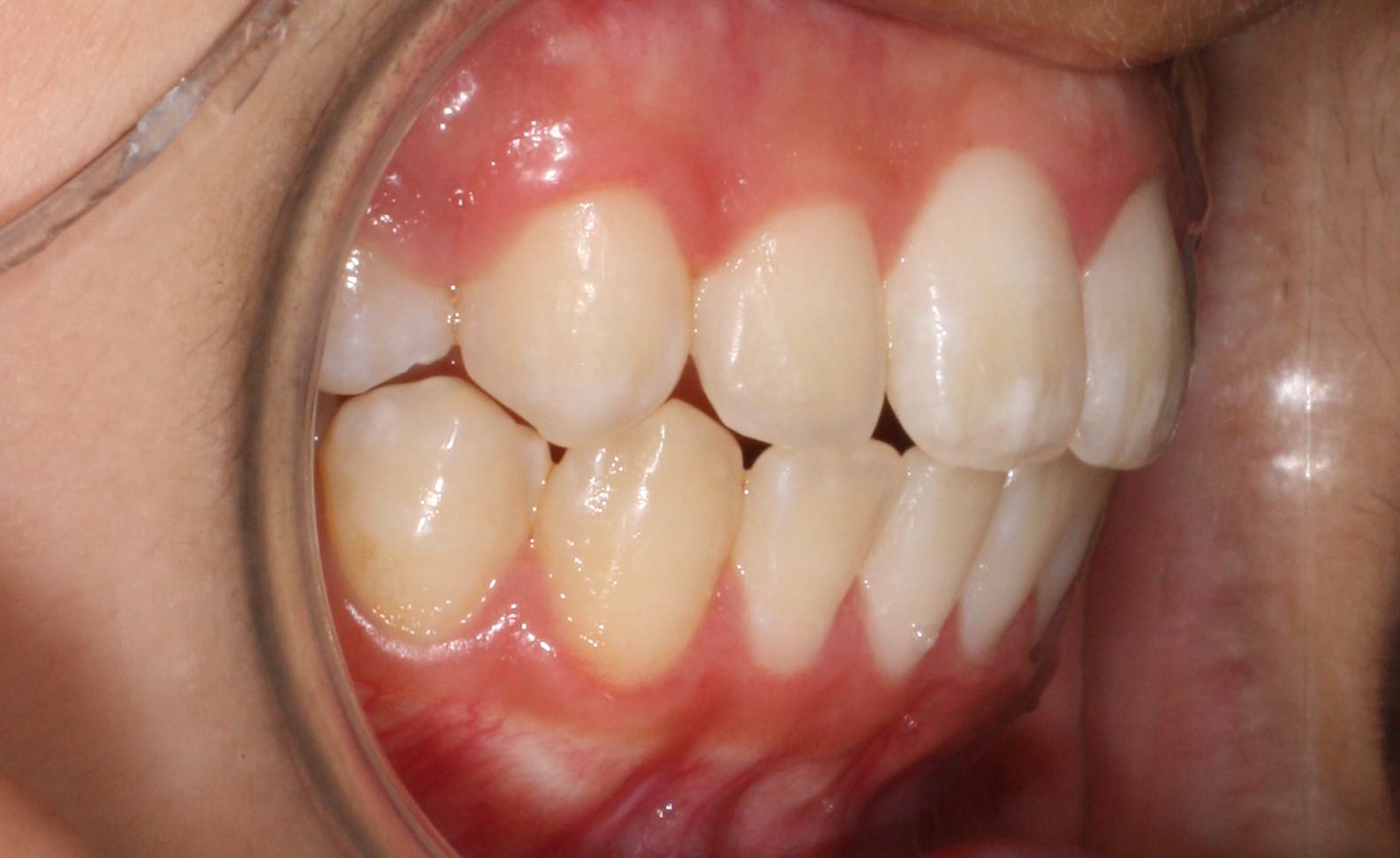
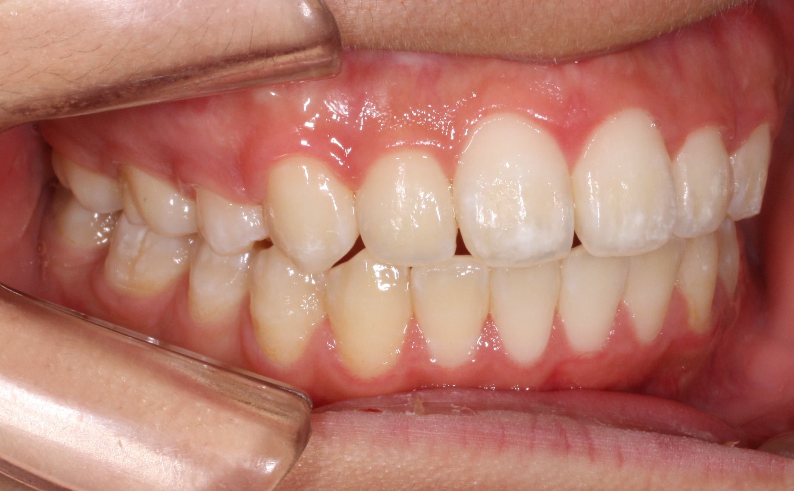
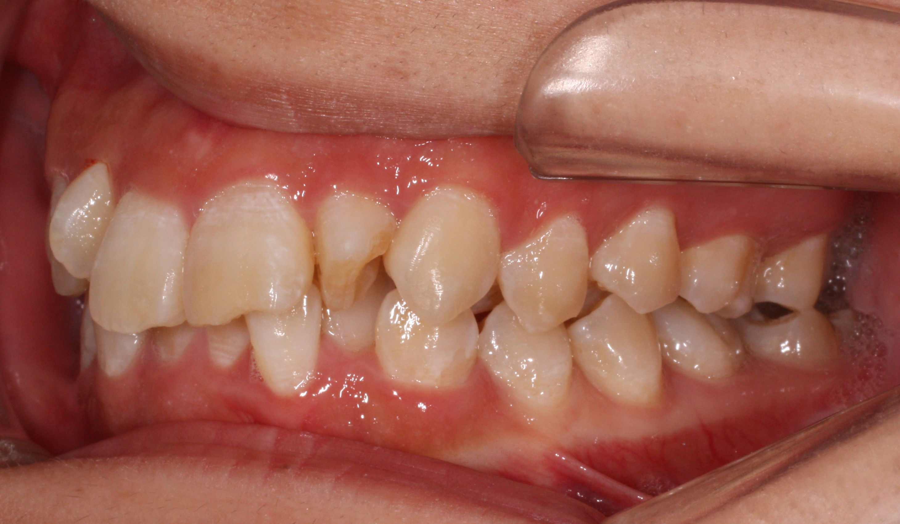
16才4ヶ月:女性 治療期間:1年8ヶ月 治療回数:24回








ガタガタと出っ歯を気にして来院された16歳4か月の女性です。上下の小臼歯を計4本抜歯してマルチブラケット治療を行いました。マルチブラケット治療期間は1年8か月で、歯並び・かみ合わせとも良好に改善しました。
| 主訴 | ガタガタ・口ゴボ・出っ歯 |
|---|---|
| 診断 | 上顎前突・叢生 |
| 初診時年齢・性別 | 16歳4か月・女性 |
| 使用した主な装置 | マルチブラケット装置 |
| 抜歯/非抜歯 および抜歯部位 |
上下顎小臼歯4本抜歯 |
| 治療期間 | 1年8か月 24回 |
| 費用 | 750,000円(税込) |
リスク・副作用
- 矯正治療中は歯ブラシが煩雑なので、虫歯や歯周病(歯肉炎)のリスクが伴います。(クリニックでのブラッシング指導、ご本人のハミガキを日々しっかり行っていただく必要があります)
- 一般歯科医師による(かかりつけ医)虫歯の定期検診やフッ素塗布などをお勧めします。
- 永久歯の矯正治療では治療中に歯根吸収や歯茎退縮が生じる場合があります。
- 歯の移動や日々の食生活の思わぬ変化により、装置が変形することがあります。そのため内頬を傷つけることがまれにあります。その場合はワイヤーの調整やカットを随時行います。
- 硬い食べ物や繊維質の食べ物は、装置が外れたり壊れたりすることがあります。装置への負担の関係からできるだけ気にかけて食事を摂るようにしてください。
- 矯正治療後は個人差がありますが、歯が後戻りすることがあります(移動した歯は元の位置に戻ろうとします)。そのため治療終了後もリテーナー(保定装置)を正しくつけることが必要です。
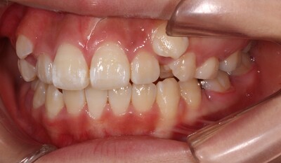
15才5ヶ月:女性 治療期間:2年3ヶ月 治療回数:25回








歯並びの不揃いを気にして来院された、15歳の女性です。叢生の程度が大きいため、上顎2本抜歯を併用してマルチブラケット治療を行いました。治療期間は2年3か月で、歯並び・かみ合わせとも良好に改善しました。
| 主訴 | 歯並びの見た目が気になる |
|---|---|
| 診断 | 叢生・上顎前突 |
| 初診時年齢・性別 | 15歳・女性 |
| 使用した主な装置 | マルチブラケット |
| 抜歯/非抜歯 および抜歯部位 |
抜歯・上顎左右4番 |
| 治療期間 | 2年3か月 |
| 費用 | 770,000円(税込) |
リスク・副作用
- 矯正治療中は歯ブラシが煩雑なので、虫歯や歯周病(歯肉炎)のリスクが伴います。(クリニックでのブラッシング指導、ご本人のハミガキを日々しっかり行っていただく必要があります)
- 一般歯科治療を行う歯科医師のもとで虫歯の定期検診やフッ素塗布などをお勧めします。
- 永久歯の矯正治療では治療中に歯根吸収や歯茎退縮が生じる場合があります。
- 歯の移動や日々の食生活の思わぬ変化により、装置が変形することがあります。そのため内頬を傷つけることがまれにあります。その場合はワイヤーの調整やカットを随時行います。
- 硬い食べ物や繊維質の食べ物は、装置が外れたり壊れたりすることがあります。装置への負担の関係からできるだけ気にかけて食事を摂るようにしてください。
- 矯正治療後は個人差がありますが、歯が後戻りすることがあります(移動した歯は元の位置に戻ろうとします)。そのため治療終了後もリテーナー(保定装置)を正しくつけることが必要です。
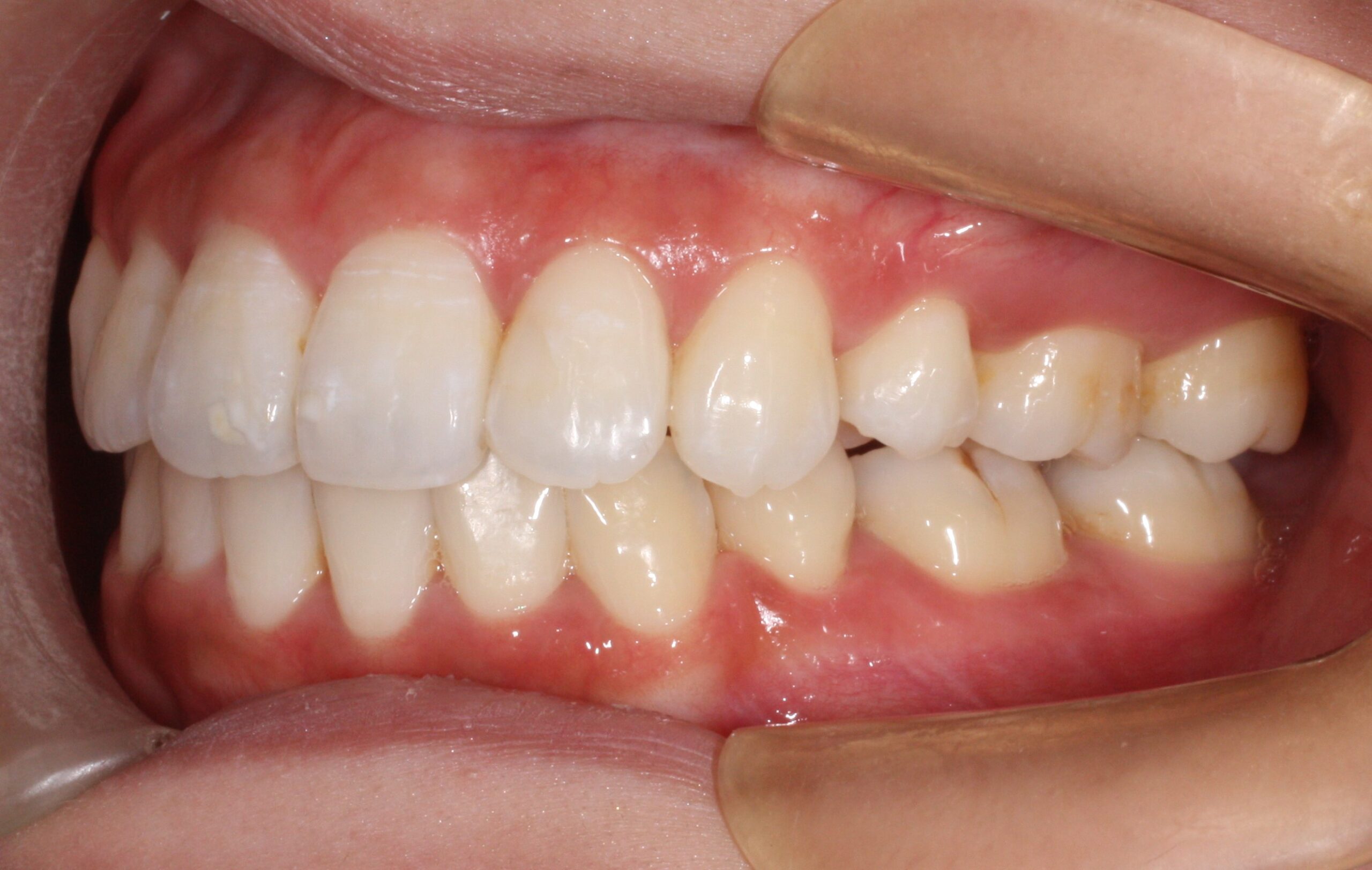
16才2ヶ月:女性 治療期間:1年5ヶ月 治療回数:15回







口元の突出を気にして来院された、16歳の女性です。上下の歯の傾斜が大きいため、上下顎4本抜歯を併用してマルチブラケット治療を行いました。治療期間は1年5か月で、歯並び・かみ合わせとも良好に改善しました。
| 主訴 | 口が閉じない・見た目が気になる |
|---|---|
| 診断 | 上顎前突・叢生 |
| 初診時年齢・性別 | 16歳・女性 |
| 使用した主な装置 | マルチブラケット |
| 抜歯/非抜歯 および抜歯部位 |
抜歯・上下顎左右4番 |
| 治療期間 | 1年5か月 |
| 費用 | 825,000円(税込) |
リスク・副作用
- 矯正治療中は歯ブラシが煩雑なので、虫歯や歯周病(歯肉炎)のリスクが伴います。(クリニックでのブラッシング指導、ご本人のハミガキを日々しっかり行っていただく必要があります)
- 一般歯科治療を行う歯科医師のもとで虫歯の定期検診やフッ素塗布などをお勧めします。
- 永久歯の矯正治療では治療中に歯根吸収や歯茎退縮が生じる場合があります。
- 歯の移動や日々の食生活の思わぬ変化により、装置が変形することがあります。そのため内頬を傷つけることがまれにあります。その場合はワイヤーの調整やカットを随時行います。
- 硬い食べ物や繊維質の食べ物は、装置が外れたり壊れたりすることがあります。装置への負担の関係からできるだけ気にかけて食事を摂るようにしてください。
- 矯正治療後は個人差がありますが、歯が後戻りすることがあります(移動した歯は元の位置に戻ろうとします)。そのため治療終了後もリテーナー(保定装置)を正しくつけることが必要です。
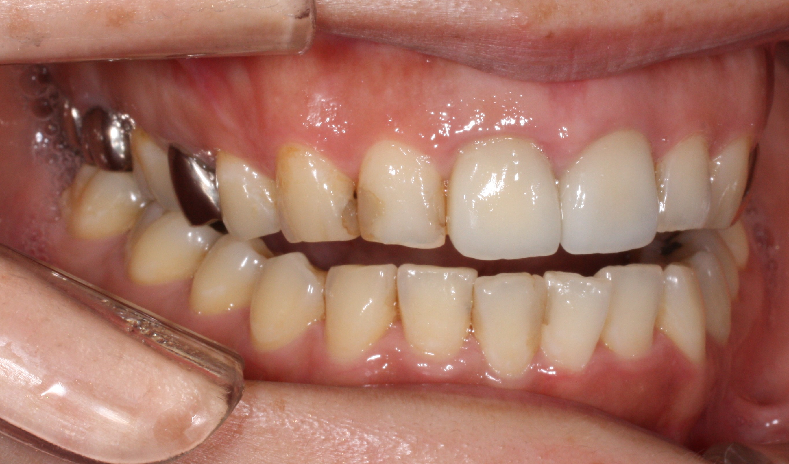
16才10ヶ月:女性 治療期間:1年7か月 治療回数:20回







上顎前歯の突出と下顎前歯の叢生を気にして来院された、16歳10か月の女性です。突出の程度が大きいため、上顎2本抜歯を併用してマルチブラケット治療を行いました。治療期間は1年7か月で、歯並び・かみ合わせとも良好に改善しました。
| 主訴 | 歯並びの見た目が気になる |
|---|---|
| 診断 | 上顎前突・叢生 |
| 初診時年齢・性別 | 16歳10か月・女性 |
| 使用した主な装置 | マルチブラケット |
| 抜歯/非抜歯 および抜歯部位 |
抜歯・上顎左右4番 |
| 治療期間 | 1年7か月 |
| 費用 | 825,000円(税込) |
リスク・副作用
- 矯正治療中は歯ブラシが煩雑なので、虫歯や歯周病(歯肉炎)のリスクが伴います。(クリニックでのブラッシング指導、ご本人のハミガキを日々しっかり行っていただく必要があります)
- 一般歯科治療を行う歯科医師のもとで虫歯の定期検診やフッ素塗布などをお勧めします。
- 永久歯の矯正治療では治療中に歯根吸収や歯茎退縮が生じる場合があります。
- 歯の移動や日々の食生活の思わぬ変化により、装置が変形することがあります。そのため内頬を傷つけることがまれにあります。その場合はワイヤーの調整やカットを随時行います。
- 硬い食べ物や繊維質の食べ物は、装置が外れたり壊れたりすることがあります。装置への負担の関係からできるだけ気にかけて食事を摂るようにしてください。
- 矯正治療後は個人差がありますが、歯が後戻りすることがあります(移動した歯は元の位置に戻ろうとします)。そのため治療終了後もリテーナー(保定装置)を正しくつけることが必要です。
41才5ヶ月:女性 治療期間:1年6ヶ月 治療回数:18回







上顎前歯の叢生を気にして来院された、41歳5か月の女性です。叢生の程度が大きいため、上顎2本抜歯を併用してマルチブラケット治療を行いました。治療期間は1年6か月で、歯並び・かみ合わせとも良好に改善しました。
| 主訴 | 歯並びの見た目が気になる |
|---|---|
| 診断 | 叢生 |
| 初診時年齢・性別 | 41歳5か月・女性 |
| 使用した主な装置 | マルチブラケット |
| 抜歯/非抜歯 および抜歯部位 |
抜歯・上顎左右5番 |
| 治療期間 | 1年6か月 |
| 費用 | 825,000円(税込) |
リスク・副作用
- 矯正治療中は歯ブラシが煩雑なので、虫歯や歯周病(歯肉炎)のリスクが伴います。(クリニックでのブラッシング指導、ご本人のハミガキを日々しっかり行っていただく必要があります)
- 一般歯科治療を行う歯科医師のもとで虫歯の定期検診やフッ素塗布などをお勧めします。
- 永久歯の矯正治療では治療中に歯根吸収や歯茎退縮が生じる場合があります。
- 歯の移動や日々の食生活の思わぬ変化により、装置が変形することがあります。そのため内頬を傷つけることがまれにあります。その場合はワイヤーの調整やカットを随時行います。
- 硬い食べ物や繊維質の食べ物は、装置が外れたり壊れたりすることがあります。装置への負担の関係からできるだけ気にかけて食事を摂るようにしてください。
- 矯正治療後は個人差がありますが、歯が後戻りすることがあります(移動した歯は元の位置に戻ろうとします)。そのため治療終了後もリテーナー(保定装置)を正しくつけることが必要です。
26才1ヶ月:女性 治療期間:1年2ヶ月 治療回数:15回







上顎の八重歯を気にして来院された、26歳1か月の女性です。叢生の程度が大きいため、上下顎2本抜歯を併用してマルチブラケット治療を行いました。治療期間は1年2か月で、歯並び・かみ合わせとも良好に改善しました。
| 主訴 | 八重歯、歯並びの見た目が気になる |
|---|---|
| 診断 | 叢生 |
| 初診時年齢・性別 | 26歳1か月・女性 |
| 使用した主な装置 | マルチブラケット |
| 抜歯/非抜歯 および抜歯部位 |
抜歯・上下顎左右4番 |
| 治療期間 | 1年2か月 |
| 費用 | 825,000円(税込) |
リスク・副作用
- 矯正治療中は歯ブラシが煩雑なので、虫歯や歯周病(歯肉炎)のリスクが伴います。(クリニックでのブラッシング指導、ご本人のハミガキを日々しっかり行っていただく必要があります)
- 一般歯科治療を行う歯科医師のもとで虫歯の定期検診やフッ素塗布などをお勧めします。
- 永久歯の矯正治療では治療中に歯根吸収や歯茎退縮が生じる場合があります。
- 歯の移動や日々の食生活の思わぬ変化により、装置が変形することがあります。そのため内頬を傷つけることがまれにあります。その場合はワイヤーの調整やカットを随時行います。
- 硬い食べ物や繊維質の食べ物は、装置が外れたり壊れたりすることがあります。装置への負担の関係からできるだけ気にかけて食事を摂るようにしてください。
- 矯正治療後は個人差がありますが、歯が後戻りすることがあります(移動した歯は元の位置に戻ろうとします)。そのため治療終了後もリテーナー(保定装置)を正しくつけることが必要です。
18才1ヶ月:女性 治療期間:1年11ヶ月 治療回数:20回







上顎の出っ歯を気にして来院された、18歳1か月の女性です。上下ともに前歯の突出程度が大きいため、上下顎4本抜歯を併用してマルチブラケット治療を行いました。治療期間は1年11か月で、歯並び・かみ合わせとも良好に改善しました。
| 主訴 | 出っ歯、口が開いている、歯並びの見た目が気になる |
|---|---|
| 診断 | 上下顎前突 |
| 初診時年齢・性別 | 18歳1か月・女性 |
| 使用した主な装置 | マルチブラケット |
| 抜歯/非抜歯 および抜歯部位 |
抜歯・上下顎左右4番 |
| 治療期間 | 1年11か月 |
| 費用 | 825,000円(税込) |
リスク・副作用
- 矯正治療中は歯ブラシが煩雑なので、虫歯や歯周病(歯肉炎)のリスクが伴います。(クリニックでのブラッシング指導、ご本人のハミガキを日々しっかり行っていただく必要があります) <li一般歯科治療を行う歯科医師のもとで虫歯の定期検診やフッ素塗布などをお勧めします。
- 永久歯の矯正治療では治療中に歯根吸収や歯茎退縮が生じる場合があります。
- 歯の移動や日々の食生活の思わぬ変化により、装置が変形することがあります。そのため内頬を傷つけることがまれにあります。その場合はワイヤーの調整やカットを随時行います。
- 硬い食べ物や繊維質の食べ物は、装置が外れたり壊れたりすることがあります。装置への負担の関係からできるだけ気にかけて食事を摂るようにしてください。
- 矯正治療後は個人差がありますが、歯が後戻りすることがあります(移動した歯は元の位置に戻ろうとします)。そのため治療終了後もリテーナー(保定装置)を正しくつけることが必要です。
26才3ヶ月:女性 治療期間:1年6ヶ月 治療回数:18回







口唇閉鎖不全と、上下顎のガタガタを気にして来院された26歳3か月の女性です。上下ともに突出、叢生の程度が大きいため、上下顎4本抜歯を併用してマルチブラケット治療を行いました。治療期間は1年6か月で、歯並び・かみ合わせとも良好に改善しました。
| 主訴 | ガタガタ、見た目が気になる、口元が出ている |
|---|---|
| 診断 | 上下顎前突、叢生 |
| 初診時年齢・性別 | 26歳3か月・女性 |
| 使用した主な装置 | マルチブラケット |
| 抜歯/非抜歯 および抜歯部位 |
抜歯・上下顎左右4番 |
| 治療期間 | 1年6か月 |
| 費用 | 825,000円(税込) |
リスク・副作用
- 矯正治療中は歯ブラシが煩雑なので、虫歯や歯周病(歯肉炎)のリスクが伴います。(クリニックでのブラッシング指導、ご本人のハミガキを日々しっかり行っていただく必要があります)
- 一般歯科治療を行う歯科医師のもとで虫歯の定期検診やフッ素塗布などをお勧めします。
- 永久歯の矯正治療では治療中に歯根吸収や歯茎退縮が生じる場合があります。
- 歯の移動や日々の食生活の思わぬ変化により、装置が変形することがあります。そのため内頬を傷つけることがまれにあります。その場合はワイヤーの調整やカットを随時行います。
- 硬い食べ物や繊維質の食べ物は、装置が外れたり壊れたりすることがあります。装置への負担の関係からできるだけ気にかけて食事を摂るようにしてください。
- 矯正治療後は個人差がありますが、歯が後戻りすることがあります(移動した歯は元の位置に戻ろうとします)。そのため治療終了後もリテーナー(保定装置)を正しくつけることが必要です。
13才0ヶ月:女性 治療期間:2年0ヶ月 治療回数:25回







右上下のガタガタと口元の突出を気にして来院された13歳の女性です。上下顎4本抜歯を併用してマルチブラケット治療を行いました。治療期間は2年で、歯並び・かみ合わせとも良好に改善しました。
| 主訴 | ガタガタ、見た目が気になる、口元が出ている |
|---|---|
| 診断 | 叢生、上下顎前突 |
| 初診時年齢・性別 | 13歳・女性 |
| 使用した主な装置 | マルチブラケット |
| 抜歯/非抜歯 および抜歯部位 |
抜歯・上下顎左右4番 |
| 治療期間 | 2年 |
| 費用 | 770,000円(税込) |
リスク・副作用
- 矯正治療中は歯ブラシが煩雑なので、虫歯や歯周病(歯肉炎)のリスクが伴います。(クリニックでのブラッシング指導、ご本人のハミガキを日々しっかり行っていただく必要があります)
- 一般歯科治療を行う歯科医師のもとで虫歯の定期検診やフッ素塗布などをお勧めします。
- 永久歯の矯正治療では治療中に歯根吸収や歯茎退縮が生じる場合があります。
- 歯の移動や日々の食生活の思わぬ変化により、装置が変形することがあります。そのため内頬を傷つけることがまれにあります。その場合はワイヤーの調整やカットを随時行います。
- 硬い食べ物や繊維質の食べ物は、装置が外れたり壊れたりすることがあります。装置への負担の関係からできるだけ気にかけて食事を摂るようにしてください。
- 矯正治療後は個人差がありますが、歯が後戻りすることがあります(移動した歯は元の位置に戻ろうとします)。そのため治療終了後もリテーナー(保定装置)を正しくつけることが必要です。
11才11ヶ月:男性 治療期間:2年4ヶ月 治療回数:25回







右上下のガタガタと口元の突出を気にして来院された11歳11か月の男性です。上下顎4本抜歯を併用してマルチブラケット治療を行いました。治療期間は2年4か月で、歯並び・かみ合わせとも良好に改善しました。
| 主訴 | ガタガタ、見た目が気になる、口元が出ている |
|---|---|
| 診断 | 叢生、上下顎前突 |
| 初診時年齢・性別 | 11歳11か月・男性 |
| 使用した主な装置 | マルチブラケット |
| 抜歯/非抜歯 および抜歯部位 |
抜歯・上下顎左右4番 |
| 治療期間 | 2年4ヶ月 |
| 費用 | 770,000円(税込) |
リスク・副作用
- 矯正治療中は歯ブラシが煩雑なので、虫歯や歯周病(歯肉炎)のリスクが伴います。(クリニックでのブラッシング指導、ご本人のハミガキを日々しっかり行っていただく必要があります)
- 一般歯科治療を行う歯科医師のもとで虫歯の定期検診やフッ素塗布などをお勧めします。
- 永久歯の矯正治療では治療中に歯根吸収や歯茎退縮が生じる場合があります。
- 歯の移動や日々の食生活の思わぬ変化により、装置が変形することがあります。そのため内頬を傷つけることがまれにあります。その場合はワイヤーの調整やカットを随時行います。
- 硬い食べ物や繊維質の食べ物は、装置が外れたり壊れたりすることがあります。装置への負担の関係からできるだけ気にかけて食事を摂るようにしてください。
- 矯正治療後は個人差がありますが、歯が後戻りすることがあります(移動した歯は元の位置に戻ろうとします)。そのため治療終了後もリテーナー(保定装置)を正しくつけることが必要です。
18才1ヶ月:女性 治療期間:1年9ヶ月 治療回数:23回







口元の突出を気にして来院された18歳1か月の女性です。上下顎4本抜歯を併用してマルチブラケット治療を行いました。治療期間は1年9か月で、歯並び・かみ合わせとも良好に改善しました。
| 主訴 | 口元が出ている |
|---|---|
| 診断 | 上下顎前突 |
| 初診時年齢・性別 | 18歳1か月・女性 |
| 使用した主な装置 | マルチブラケット |
| 抜歯/非抜歯 および抜歯部位 |
抜歯・上顎左右4番、下顎左右5番 |
| 治療期間 | 1年9か月 |
| 費用 | 825,000円(税込) |
リスク・副作用
- 矯正治療中は歯ブラシが煩雑なので、虫歯や歯周病(歯肉炎)のリスクが伴います。(クリニックでのブラッシング指導、ご本人のハミガキを日々しっかり行っていただく必要があります)
- 一般歯科治療を行う歯科医師のもとで虫歯の定期検診やフッ素塗布などをお勧めします。
- 永久歯の矯正治療では治療中に歯根吸収や歯茎退縮が生じる場合があります。
- 歯の移動や日々の食生活の思わぬ変化により、装置が変形することがあります。そのため内頬を傷つけることがまれにあります。その場合はワイヤーの調整やカットを随時行います。
- 硬い食べ物や繊維質の食べ物は、装置が外れたり壊れたりすることがあります。装置への負担の関係からできるだけ気にかけて食事を摂るようにしてください。
- 矯正治療後は個人差がありますが、歯が後戻りすることがあります(移動した歯は元の位置に戻ろうとします)。そのため治療終了後もリテーナー(保定装置)を正しくつけることが必要です。
21才4ヶ月:女性 治療期間:1年7ヶ月 治療回数:20回







前歯のガタガタを気にして来院された21歳4か月の女性です。歯を抜かずにマルチブラケット治療を行いました。治療期間は1年7か月で、歯並び・かみ合わせとも良好に改善しました。
| 主訴 | ガタガタ |
|---|---|
| 診断 | 上下顎前歯叢生 |
| 初診時年齢・性別 | 21歳4か月・女性 |
| 使用した主な装置 | マルチブラケット |
| 抜歯/非抜歯 および抜歯部位 |
非抜歯 |
| 治療期間 | 1年7か月 |
| 費用 | 825,000円(税込) |
リスク・副作用
- 矯正治療中は歯ブラシが煩雑なので、虫歯や歯周病(歯肉炎)のリスクが伴います。(クリニックでのブラッシング指導、ご本人のハミガキを日々しっかり行っていただく必要があります)
- 一般歯科治療を行う歯科医師のもとで虫歯の定期検診やフッ素塗布などをお勧めします。
- 永久歯の矯正治療では治療中に歯根吸収や歯茎退縮が生じる場合があります。
- 歯の移動や日々の食生活の思わぬ変化により、装置が変形することがあります。そのため内頬を傷つけることがまれにあります。その場合はワイヤーの調整やカットを随時行います。
- 硬い食べ物や繊維質の食べ物は、装置が外れたり壊れたりすることがあります。装置への負担の関係からできるだけ気にかけて食事を摂るようにしてください。
- 矯正治療後は個人差がありますが、歯が後戻りすることがあります(移動した歯は元の位置に戻ろうとします)。そのため治療終了後もリテーナー(保定装置)を正しくつけることが必要です。
11才0ヶ月:男性 治療期間:1年6ヶ月 治療回数:18回







前歯の突出を気にして来院された11歳の男性です。上顎左右側第一小臼歯を抜歯してマルチブラケット治療を行いました。治療期間は1年6か月で、歯並び・かみ合わせとも良好に改善しました。
| 主訴 | 出っ歯 |
|---|---|
| 診断 | 上顎前歯唇側傾斜による上顎前突 |
| 初診時年齢・性別 | 11歳・男性 |
| 使用した主な装置 | マルチブラケット |
| 抜歯/非抜歯 および抜歯部位 |
上顎左右側第一小臼歯抜歯 |
| 治療期間 | 1年6か月 |
| 費用 | 770,000円(税込) |
リスク・副作用
- 矯正治療中は歯ブラシが煩雑なので、虫歯や歯周病(歯肉炎)のリスクが伴います。(クリニックでのブラッシング指導、ご本人のハミガキを日々しっかり行っていただく必要があります)
- 一般歯科治療を行う歯科医師のもとで虫歯の定期検診やフッ素塗布などをお勧めします。
- 永久歯の矯正治療では治療中に歯根吸収や歯茎退縮が生じる場合があります。
- 歯の移動や日々の食生活の思わぬ変化により、装置が変形することがあります。そのため内頬を傷つけることがまれにあります。その場合はワイヤーの調整やカットを随時行います。
- 硬い食べ物や繊維質の食べ物は、装置が外れたり壊れたりすることがあります。装置への負担の関係からできるだけ気にかけて食事を摂るようにしてください。
- 矯正治療後は個人差がありますが、歯が後戻りすることがあります(移動した歯は元の位置に戻ろうとします)。そのため治療終了後もリテーナー(保定装置)を正しくつけることが必要です。
40才6ヶ月:男性 治療期間:2年0ヶ月 治療回数:23回







上下前歯の突出を気にして来院された40歳6か月の男性です。上顎左右側第一小臼歯を抜歯してマルチブラケット治療を行いました。治療期間は2年0か月で、歯並び・かみ合わせとも良好に改善しました。
| 主訴 | 出っ歯 |
|---|---|
| 診断 | 上下顎前歯唇側傾斜による上下顎前突 |
| 初診時年齢・性別 | 40歳6か月・男性 |
| 使用した主な装置 | マルチブラケット |
| 抜歯/非抜歯 および抜歯部位 |
上顎左右側第一小臼歯抜歯 |
| 費用 | 825,000円(税込) |
リスク・副作用
- 矯正治療中は歯ブラシが煩雑なので、虫歯や歯周病(歯肉炎)のリスクが伴います。(クリニックでのブラッシング指導、ご本人のハミガキを日々しっかり行っていただく必要があります)
- 一般歯科治療を行う歯科医師のもとで虫歯の定期検診やフッ素塗布などをお勧めします。
- 永久歯の矯正治療では治療中に歯根吸収や歯茎退縮が生じる場合があります。
- 歯の移動や日々の食生活の思わぬ変化により、装置が変形することがあります。そのため内頬を傷つけることがまれにあります。その場合はワイヤーの調整やカットを随時行います。
- 硬い食べ物や繊維質の食べ物は、装置が外れたり壊れたりすることがあります。装置への負担の関係からできるだけ気にかけて食事を摂るようにしてください。
- 矯正治療後は個人差がありますが、歯が後戻りすることがあります(移動した歯は元の位置に戻ろうとします)。そのため治療終了後もリテーナー(保定装置)を正しくつけることが必要です。
33才10ヶ月:女性 治療期間:1年9ヶ月 治療回数:18回







上顎前歯の突出とガタガタを気にして来院された33歳10か月の女性です。上顎左右側第一小臼歯を抜歯してマルチブラケット治療を行いました。治療期間は1年9か月で、歯並び・かみ合わせとも良好に改善しました。
| 主訴 | 出っ歯・叢生 |
|---|---|
| 診断 | 上顎前歯唇側傾斜による上顎前突 |
| 初診時年齢・性別 | 33歳10か月・女性 |
| 使用した主な装置 | マルチブラケット |
| 抜歯/非抜歯 および抜歯部位 |
上顎左右側第一小臼歯抜歯 |
| 費用 | 825,000円(税込) |
リスク・副作用
- 矯正治療中は歯ブラシが煩雑なので、虫歯や歯周病(歯肉炎)のリスクが伴います。(クリニックでのブラッシング指導、ご本人のハミガキを日々しっかり行っていただく必要があります)
- 一般歯科治療を行う歯科医師のもとで虫歯の定期検診やフッ素塗布などをお勧めします。
- 永久歯の矯正治療では治療中に歯根吸収や歯茎退縮が生じる場合があります。
- 歯の移動や日々の食生活の思わぬ変化により、装置が変形することがあります。そのため内頬を傷つけることがまれにあります。その場合はワイヤーの調整やカットを随時行います。
- 硬い食べ物や繊維質の食べ物は、装置が外れたり壊れたりすることがあります。装置への負担の関係からできるだけ気にかけて食事を摂るようにしてください。
- 矯正治療後は個人差がありますが、歯が後戻りすることがあります(移動した歯は元の位置に戻ろうとします)。そのため治療終了後もリテーナー(保定装置)を正しくつけることが必要です。
35才0ヶ月:女性 治療期間:2年0か月 治療回数:23回







上下顎前歯の突出と軽度叢生を気にして来院された35歳0か月の女性です。上下顎左右側第一小臼歯を抜歯してマルチブラケット治療を行いました。
治療期間は2年0か月で、歯並び・かみ合わせとも良好に改善しました。
| 主訴 | 出っ歯・叢生 |
|---|---|
| 診断 | 上下顎前歯唇側傾斜による上下顎前突 |
| 初診時年齢・性別 | 35歳0か月・女性 |
| 使用した主な装置 | マルチブラケット |
| 抜歯/非抜歯 および抜歯部位 |
上下顎左右側第一小臼歯抜歯 |
| 費用 | 825,000円(税込) |
リスク・副作用
- 矯正治療中は歯ブラシが煩雑なので、虫歯や歯周病(歯肉炎)のリスクが伴います。(クリニックでのブラッシング指導、ご本人のハミガキを日々しっかり行っていただく必要があります)
- 歯科医師による(かかりつけの歯科医院)虫歯の定期検診やフッ素塗布などをお勧めします。
- 永久歯の矯正治療では治療中に歯根吸収や歯茎退縮が生じる場合があります。
- 歯の移動や日々の食生活の思わぬ変化により、装置が変形することがあります。そのため内頬を傷つけることがまれにあります。その場合はワイヤーの調整やカットを随時行います。
- 硬い食べ物や繊維質の食べ物は、装置が外れたり壊れたりすることがあります。装置への負担の関係からできるだけ気にかけて食事を摂るようにしてください。
- 矯正治療後は個人差がありますが、歯が後戻りすることがあります(移動した歯は元の位置に戻ろうとします)。そのため治療終了後もリテーナー(保定装置)を正しくつけることが必要です。
22才4ヶ月:女性 治療期間:1年6か月 治療回数:18回







上顎前歯の突出と開咬を気にして来院された22歳4か月の女性です。上顎左右側第一小臼歯を抜歯してマルチブラケット治療を行いました。
治療期間は1年6か月で、歯並び・かみ合わせとも良好に改善しました。
| 主訴 | 出っ歯・開咬 |
|---|---|
| 診断 | 上顎前歯唇側傾斜による上顎前突および開咬 |
| 初診時年齢・性別 | 22歳4か月・女性 |
| 使用した主な装置 | マルチブラケット |
| 抜歯/非抜歯 および抜歯部位 |
上顎左右側第一小臼歯抜歯 |
| 治療期間・回数 | 1年6か月 18回 |
| 費用 | 825,000円(税込) |
リスク・副作用
- 矯正治療中は歯ブラシが煩雑なので、虫歯や歯周病(歯肉炎)のリスクが伴います。(クリニックでのブラッシング指導、ご本人のハミガキを日々しっかり行っていただく必要があります)
- 歯科医師による(かかりつけの歯科医院)虫歯の定期検診やフッ素塗布などをお勧めします。
- 永久歯の矯正治療では治療中に歯根吸収や歯茎退縮が生じる場合があります。
- 歯の移動や日々の食生活の思わぬ変化により、装置が変形することがあります。そのため内頬を傷つけることがまれにあります。その場合はワイヤーの調整やカットを随時行います。
- 硬い食べ物や繊維質の食べ物は、装置が外れたり壊れたりすることがあります。装置への負担の関係からできるだけ気にかけて食事を摂るようにしてください。
- 矯正治療後は個人差がありますが、歯が後戻りすることがあります(移動した歯は元の位置に戻ろうとします)。そのため治療終了後もリテーナー(保定装置)を正しくつけることが必要です。
43才5ヶ月:女性 治療期間:2年3ヶ月 治療回数:25回







上顎前歯の突出と開咬を気にして来院された43歳5ヶ月の女性です。上顎左右側第一小臼歯を抜歯してマルチブラケット治療を行いました。
治療期間は2年3ヶ月で、歯並び・かみ合わせとも良好に改善しました。
| 主訴 | 出っ歯・開咬 |
|---|---|
| 診断 | 上顎前歯唇側傾斜による上顎前突および開咬 |
| 初診時年齢・性別 | 43歳5ヶ月・女性 |
| 使用した主な装置 | マルチブラケット |
| 抜歯/非抜歯 および抜歯部位 |
上顎左右側第一小臼歯抜歯 |
| 治療期間・回数 | 2年3ヶ月 25回 |
| 費用 | 825,000円(税込) |
リスク・副作用
- 矯正治療中は歯ブラシが煩雑なので、虫歯や歯周病(歯肉炎)のリスクが伴います。(クリニックでのブラッシング指導、ご本人のハミガキを日々しっかり行っていただく必要があります)
- 歯科医師による(かかりつけの歯科医院)虫歯の定期検診やフッ素塗布などをお勧めします。
- 永久歯の矯正治療では治療中に歯根吸収や歯茎退縮が生じる場合があります。
- 歯の移動や日々の食生活の思わぬ変化により、装置が変形することがあります。そのため内頬を傷つけることがまれにあります。その場合はワイヤーの調整やカットを随時行います。
- 硬い食べ物や繊維質の食べ物は、装置が外れたり壊れたりすることがあります。装置への負担の関係からできるだけ気にかけて食事を摂るようにしてください。
- 矯正治療後は個人差がありますが、歯が後戻りすることがあります(移動した歯は元の位置に戻ろうとします)。そのため治療終了後もリテーナー(保定装置)を正しくつけることが必要です。
16才0ヶ月:女性 治療期間:2年0ヶ月 治療回数:22回







上顎歯茎の露出の大きさを気にして来院された16歳0か月の女性です。上顎左右側第一小臼歯を抜歯してマルチブラケット治療を行いました。
治療期間は2年0か月で、歯並び・かみ合わせとも良好に改善しました。
| 主訴 | 歯茎が出ている・出っ歯 |
|---|---|
| 診断 | 上顎前舌唇側傾斜による過蓋咬合 |
| 初診時年齢・性別 | 16歳0か月・女性 |
| 使用した主な装置 | マルチブラケット |
| 抜歯/非抜歯 および抜歯部位 |
上顎左右側第一小臼歯抜歯 |
| 治療期間・回数 | 2年0か月 22回 |
| 費用 | 825,000円(税込) |
リスク・副作用
- 矯正治療中は歯ブラシが煩雑なので、虫歯や歯周病(歯肉炎)のリスクが伴います。(クリニックでのブラッシング指導、ご本人のハミガキを日々しっかり行っていただく必要があります)
- 歯科医師による(かかりつけの歯科医院)虫歯の定期検診やフッ素塗布などをお勧めします。
- 永久歯の矯正治療では治療中に歯根吸収や歯茎退縮が生じる場合があります。
- 歯の移動や日々の食生活の思わぬ変化により、装置が変形することがあります。そのため内頬を傷つけることがまれにあります。その場合はワイヤーの調整やカットを随時行います。
- 硬い食べ物や繊維質の食べ物は、装置が外れたり壊れたりすることがあります。装置への負担の関係からできるだけ気にかけて食事を摂るようにしてください。
- 矯正治療後は個人差がありますが、歯が後戻りすることがあります(移動した歯は元の位置に戻ろうとします)。そのため治療終了後もリテーナー(保定装置)を正しくつけることが必要です。
13才7ヶ月:女性 治療期間:2年0ヶ月 治療回数:20回







口元の突出を気にして来院された13歳7か月の女性です。上顎左右側第一小臼歯を抜歯してマルチブラケット治療を行いました。
治療期間は2年0か月で、歯並び・かみ合わせとも良好に改善しました。
| 主訴 | 口が出ている・出っ歯 |
|---|---|
| 診断 | 上顎前舌唇側傾斜による上顎前突 |
| 初診時年齢・性別 | 13歳7か月・女性 |
| 使用した主な装置 | マルチブラケット |
| 抜歯/非抜歯 および抜歯部位 |
上顎左右側第一小臼歯抜歯 |
| 治療期間・回数 | 2年0か月 20回 |
| 費用 | 770,000円(税込) |
リスク・副作用
- 矯正治療中は歯ブラシが煩雑なので、虫歯や歯周病(歯肉炎)のリスクが伴います。(クリニックでのブラッシング指導、ご本人のハミガキを日々しっかり行っていただく必要があります)
- 歯科医師による(かかりつけの歯科医院)虫歯の定期検診やフッ素塗布などをお勧めします。
- 永久歯の矯正治療では治療中に歯根吸収や歯茎退縮が生じる場合があります。
- 歯の移動や日々の食生活の思わぬ変化により、装置が変形することがあります。そのため内頬を傷つけることがまれにあります。その場合はワイヤーの調整やカットを随時行います。
- 硬い食べ物や繊維質の食べ物は、装置が外れたり壊れたりすることがあります。装置への負担の関係からできるだけ気にかけて食事を摂るようにしてください。
- 矯正治療後は個人差がありますが、歯が後戻りすることがあります(移動した歯は元の位置に戻ろうとします)。そのため治療終了後もリテーナー(保定装置)を正しくつけることが必要です。
24才10ヶ月:女性 治療期間:2年0ヶ月 治療回数:19回







口元と歯茎の突出を気にして来院された24歳10か月の女性です。上下顎左右側第一小臼歯を抜歯してマルチブラケット治療を行いました。
治療期間は 2年0か月で、歯並び・かみ合わせとも良好に改善しました。
| 主訴 | 歯茎が出ている・出っ歯 |
|---|---|
| 診断 | 上顎前歯唇側傾斜による上顎前突と下顎前歯部叢生 |
| 初診時年齢・性別 | 24歳10か月・女性 |
| 使用した主な装置 | マルチブラケット |
| 抜歯/非抜歯 および抜歯部位 |
上顎左右側第一小臼歯抜歯 |
| 治療期間・回数 | 2年0か月 19回 |
| 費用 | 825,000円(税込) |
リスク・副作用
- 矯正治療中は歯ブラシが煩雑なので、虫歯や歯周病(歯肉炎)のリスクが伴います。(クリニックでのブラッシング指導、ご本人のハミガキを日々しっかり行っていただく必要があります)
- 歯科医師による(かかりつけの歯科医院)虫歯の定期検診やフッ素塗布などをお勧めします。
- 永久歯の矯正治療では治療中に歯根吸収や歯茎退縮が生じる場合があります。
- 歯の移動や日々の食生活の思わぬ変化により、装置が変形することがあります。そのため内頬を傷つけることがまれにあります。その場合はワイヤーの調整やカットを随時行います。
- 硬い食べ物や繊維質の食べ物は、装置が外れたり壊れたりすることがあります。装置への負担の関係からできるだけ気にかけて食事を摂るようにしてください。
- 矯正治療後は個人差がありますが、歯が後戻りすることがあります(移動した歯は元の位置に戻ろうとします)。そのため治療終了後もリテーナー(保定装置)を正しくつけることが必要です。
39才9ヶ月:女性 治療期間:1年6ヶ月 治療回数:17回







上下顎前歯のガタガタを気にして来院された39歳9か月の女性です。上顎左右側第一小臼歯を抜歯してマルチブラケット治療を行いました。
治療期間は1年6か月で、歯並び・かみ合わせとも良好に改善しました。
| 主訴 | ガタガタ 叢生 |
|---|---|
| 診断 | 上顎前突および上下顎前歯部叢生 |
| 初診時年齢・性別 | 39歳9か月・女性 |
| 使用した主な装置 | マルチブラケット |
| 抜歯/非抜歯 および抜歯部位 |
上顎左右側第一小臼歯抜歯 |
| 治療期間・回数 | 1年6か月 17回 |
| 費用 | 825,000円(税込) |
リスク・副作用
- 矯正治療中は歯ブラシが煩雑なので、虫歯や歯周病(歯肉炎)のリスクが伴います。(クリニックでのブラッシング指導、ご本人のハミガキを日々しっかり行っていただく必要があります)
- 歯科医師による(かかりつけの歯科医院)虫歯の定期検診やフッ素塗布などをお勧めします。
- 永久歯の矯正治療では治療中に歯根吸収や歯茎退縮が生じる場合があります。
- 歯の移動や日々の食生活の思わぬ変化により、装置が変形することがあります。そのため内頬を傷つけることがまれにあります。その場合はワイヤーの調整やカットを随時行います。
- 硬い食べ物や繊維質の食べ物は、装置が外れたり壊れたりすることがあります。装置への負担の関係からできるだけ気にかけて食事を摂るようにしてください。
- 矯正治療後は個人差がありますが、歯が後戻りすることがあります(移動した歯は元の位置に戻ろうとします)。そのため治療終了後もリテーナー(保定装置)を正しくつけることが必要です。
12才10ヶ月:女性 治療期間:1年8ヶ月 治療回数:20回







上顎前歯のガタガタと受け口傾向を気にして来院された12歳10か月の女性です。上顎左右側側切歯と下顎左右側第一小臼歯を抜歯してマルチブラケット治療を行いました。
治療期間は1年8か月で、歯並び・かみ合わせとも良好に改善しました。
| 主訴 | ガタガタ 受け口 |
|---|---|
| 診断 | 上顎前歯部叢生 |
| 初診時年齢・性別 | 12歳10か月・女性 |
| 使用した主な装置 | マルチブラケット |
| 抜歯/非抜歯 および抜歯部位 |
上顎左右側側切歯、下顎左右側第一小臼歯抜歯 |
| 治療期間・回数 | 1年8か月 20回 |
| 費用 | 825,000円(税込) |
リスク・副作用
- 矯正治療中は歯ブラシが煩雑なので、虫歯や歯周病(歯肉炎)のリスクが伴います。(クリニックでのブラッシング指導、ご本人のハミガキを日々しっかり行っていただく必要があります)
- 歯科医師による(かかりつけの歯科医院)虫歯の定期検診やフッ素塗布などをお勧めします。
- 永久歯の矯正治療では治療中に歯根吸収や歯茎退縮が生じる場合があります。
- 歯の移動や日々の食生活の思わぬ変化により、装置が変形することがあります。そのため内頬を傷つけることがまれにあります。その場合はワイヤーの調整やカットを随時行います。
- 硬い食べ物や繊維質の食べ物は、装置が外れたり壊れたりすることがあります。装置への負担の関係からできるだけ気にかけて食事を摂るようにしてください。
- 矯正治療後は個人差がありますが、歯が後戻りすることがあります(移動した歯は元の位置に戻ろうとします)。そのため治療終了後もリテーナー(保定装置)を正しくつけることが必要です。
10才10ヶ月:女性 治療期間:2年11ヶ月 治療回数:30回







上顎前歯のガタガタを気にして来院された10歳10か月の女性です。約1年半の小児(第一期)矯正治療終了後、上顎左右側小臼歯を抜歯して1年5か月間マルチブラケット治療を行いました。
トータルの治療期間は2年11か月で、歯並び・かみ合わせとも良好に改善しました。
| 主訴 | ガタガタ |
|---|---|
| 診断 | 上顎前歯部叢生、下顎前歯部先天欠如あり |
| 初診時年齢・性別 | 10歳10か月・女性 |
| 使用した主な装置 | 側方拡大装置・マルチブラケット装置 |
| 抜歯/非抜歯 および抜歯部位 |
上顎左右側小臼歯抜歯 |
| 治療期間 | 2年11か月 30回 |
| 費用 | 770,000円(税込) |
リスク・副作用
- 矯正治療中は歯ブラシが煩雑なので、虫歯や歯周病(歯肉炎)のリスクが伴います。(クリニックでのブラッシング指導、ご本人のハミガキを日々しっかり行っていただく必要があります)
- 歯科医師による(かかりつけの歯科医院)虫歯の定期検診やフッ素塗布などをお勧めします。
- 永久歯の矯正治療では治療中に歯根吸収や歯茎退縮が生じる場合があります。
- 歯の移動や日々の食生活の思わぬ変化により、装置が変形することがあります。そのため内頬を傷つけることがまれにあります。その場合はワイヤーの調整やカットを随時行います。
- 硬い食べ物や繊維質の食べ物は、装置が外れたり壊れたりすることがあります。装置への負担の関係からできるだけ気にかけて食事を摂るようにしてください。
- 矯正治療後は個人差がありますが、歯が後戻りすることがあります(移動した歯は元の位置に戻ろうとします)。そのため治療終了後もリテーナー(保定装置)を正しくつけることが必要です。
10才4ヶ月:女性 治療期間:2年3ヶ月 治療回数:29回







上顎前歯のガタガタを気にして来院された10歳4か月の女性です。約1年の小児(第一期)矯正治療終了後、上下顎左右側小臼歯を抜歯して1年3か月間マルチブラケット治療を行いました。
トータルの治療期間は2年3か月で、歯並び・かみ合わせとも良好に改善しました。
| 主訴 | ガタガタ |
|---|---|
| 診断 | 上顎前歯部叢生 |
| 初診時年齢・性別 | 10歳4か月・女性 |
| 使用した主な装置 | 側方拡大装置・マルチブラケット装置 |
| 抜歯/非抜歯 および抜歯部位 |
上下顎左右側小臼歯抜歯 |
| 治療期間 | 2年3か月 29回 |
| 費用 | 770,000円(税込) |
リスク・副作用
- 矯正治療中は歯ブラシが煩雑なので、虫歯や歯周病(歯肉炎)のリスクが伴います。(クリニックでのブラッシング指導、ご本人のハミガキを日々しっかり行っていただく必要があります)
- 歯科医師による(かかりつけの歯科医院)虫歯の定期検診やフッ素塗布などをお勧めします。
- 永久歯の矯正治療では治療中に歯根吸収や歯茎退縮が生じる場合があります。
- 歯の移動や日々の食生活の思わぬ変化により、装置が変形することがあります。そのため内頬を傷つけることがまれにあります。その場合はワイヤーの調整やカットを随時行います。
- 硬い食べ物や繊維質の食べ物は、装置が外れたり壊れたりすることがあります。装置への負担の関係からできるだけ気にかけて食事を摂るようにしてください。
- 矯正治療後は個人差がありますが、歯が後戻りすることがあります(移動した歯は元の位置に戻ろうとします)。そのため治療終了後もリテーナー(保定装置)を正しくつけることが必要です。
21才8ヶ月:女性 治療期間:2年0ヶ月 治療回数:20回







上顎前歯の突出を気にして来院された21歳8か月の女性です。上顎左右側第一小臼歯を抜歯してマルチブラケット治療を行いました。治療期間は2年0か月で、歯並び・かみ合わせとも良好に改善しました。
| 主訴 | 出っ歯 |
|---|---|
| 診断 | 上顎前突 |
| 初診時年齢・性別 | 21歳8か月・女性 |
| 使用した主な装置 | マルチブラケット装置 |
| 抜歯/非抜歯 および抜歯部位 |
上顎左右側第一小臼歯抜歯 |
| 治療期間 | 2年0か月 20回 |
| 費用 | 770,000円(税込) |
リスク・副作用
- 矯正治療中は歯ブラシが煩雑なので、虫歯や歯周病(歯肉炎)のリスクが伴います。(クリニックでのブラッシング指導、ご本人のハミガキを日々しっかり行っていただく必要があります)
- 歯科医師による(かかりつけの歯科医院)虫歯の定期検診やフッ素塗布などをお勧めします。
- 永久歯の矯正治療では治療中に歯根吸収や歯茎退縮が生じる場合があります。
- 歯の移動や日々の食生活の思わぬ変化により、装置が変形することがあります。そのため内頬を傷つけることがまれにあります。その場合はワイヤーの調整やカットを随時行います。
- 硬い食べ物や繊維質の食べ物は、装置が外れたり壊れたりすることがあります。装置への負担の関係からできるだけ気にかけて食事を摂るようにしてください。
- 矯正治療後は個人差がありますが、歯が後戻りすることがあります(移動した歯は元の位置に戻ろうとします)。そのため治療終了後もリテーナー(保定装置)を正しくつけることが必要です。
53才0ヶ月:女性 治療期間:2年3ヶ月 治療回数:27回







上下顎前歯の突出を気にして来院された53歳0か月の女性です。上顎左右側第一小臼歯を抜歯してマルチブラケット治療を行いました。治療期間は2年3か月で、歯並び・かみ合わせとも良好に改善しました。
| 主訴 | 出っ歯 |
|---|---|
| 診断 | 上下顎前突 |
| 初診時年齢・性別 | 53歳0か月・女性 |
| 使用した主な装置 | マルチブラケット装置 |
| 抜歯/非抜歯 および抜歯部位 |
上下顎左右側第一小臼歯抜歯 |
| 治療期間 | 2年3か月 27回 |
| 費用 | 1,100,000円(税込) |
リスク・副作用
- 矯正治療中は歯ブラシが煩雑なので、虫歯や歯周病(歯肉炎)のリスクが伴います。(クリニックでのブラッシング指導、ご本人のハミガキを日々しっかり行っていただく必要があります)
- 歯科医師による(かかりつけの歯科医院)虫歯の定期検診やフッ素塗布などをお勧めします。
- 永久歯の矯正治療では治療中に歯根吸収や歯茎退縮が生じる場合があります。
- 歯の移動や日々の食生活の思わぬ変化により、装置が変形することがあります。そのため内頬を傷つけることがまれにあります。その場合はワイヤーの調整やカットを随時行います。
- 硬い食べ物や繊維質の食べ物は、装置が外れたり壊れたりすることがあります。装置への負担の関係からできるだけ気にかけて食事を摂るようにしてください。
- 矯正治療後は個人差がありますが、歯が後戻りすることがあります(移動した歯は元の位置に戻ろうとします)。そのため治療終了後もリテーナー(保定装置)を正しくつけることが必要です。
29歳8か月・女性 治療期間:3年2ヶ月 治療回数:29回







上下顎前歯のガタガタと突出を気にして来院された29歳8か月の女性です。上下顎左右側第一小臼歯を抜歯してマルチブラケット治療を行いました。治療期間は3年2か月で、歯並び・かみ合わせとも良好に改善しました。
| 主訴 | 出っ歯・ガタガタ |
|---|---|
| 診断 | 上下顎前突・叢生 |
| 初診時年齢・性別 | 29歳8か月・女性 |
| 使用した主な装置 | マルチブラケット装置 |
| 抜歯/非抜歯 および抜歯部位 |
上下顎左右側第一小臼歯抜歯 |
| 治療期間 | 3年2か月 29回 |
| 費用 | 825,000円(税込) |
リスク・副作用
- 矯正治療中は歯ブラシが煩雑なので、虫歯や歯周病(歯肉炎)のリスクが伴います。(クリニックでのブラッシング指導、ご本人のハミガキを日々しっかり行っていただく必要があります)
- 歯科医師による(かかりつけの歯科医院)虫歯の定期検診やフッ素塗布などをお勧めします。
- 永久歯の矯正治療では治療中に歯根吸収や歯茎退縮が生じる場合があります。
- 歯の移動や日々の食生活の思わぬ変化により、装置が変形することがあります。そのため内頬を傷つけることがまれにあります。その場合はワイヤーの調整やカットを随時行います。
- 硬い食べ物や繊維質の食べ物は、装置が外れたり壊れたりすることがあります。装置への負担の関係からできるだけ気にかけて食事を摂るようにしてください。
- 矯正治療後は個人差がありますが、歯が後戻りすることがあります(移動した歯は元の位置に戻ろうとします)。そのため治療終了後もリテーナー(保定装置)を正しくつけることが必要です。
30歳6か月・女性 治療期間:1年11か月 治療回数:28回







上顎前歯のガタガタと受け口傾向を気にして来院された30歳6か月の女性です。上下顎左右側第一小臼歯を抜歯してマルチブラケット治療を行いました。治療期間は1年11か月で、歯並び・かみ合わせとも良好に改善しました。
| 主訴 | ガタガタ・受け口傾向の横顔 |
|---|---|
| 診断 | 叢生・下顎骨過成長 |
| 初診時年齢・性別 | 30歳6か月・女性 |
| 使用した主な装置 | マルチブラケット装置 |
| 抜歯/非抜歯 および抜歯部位 |
上下顎左右側第一小臼歯抜歯 |
| 治療期間 | 1年11か月 28回 |
| 費用 | 825,000円(税込) |
リスク・副作用
- 矯正治療中は歯ブラシが煩雑なので、虫歯や歯周病(歯肉炎)のリスクが伴います。(クリニックでのブラッシング指導、ご本人のハミガキを日々しっかり行っていただく必要があります)
- 歯科医師による(かかりつけの歯科医院)虫歯の定期検診やフッ素塗布などをお勧めします。
- 永久歯の矯正治療では治療中に歯根吸収や歯茎退縮が生じる場合があります。
- 歯の移動や日々の食生活の思わぬ変化により、装置が変形することがあります。そのため内頬を傷つけることがまれにあります。その場合はワイヤーの調整やカットを随時行います。
- 硬い食べ物や繊維質の食べ物は、装置が外れたり壊れたりすることがあります。装置への負担の関係からできるだけ気にかけて食事を摂るようにしてください。
- 矯正治療後は個人差がありますが、歯が後戻りすることがあります(移動した歯は元の位置に戻ろうとします)。そのため治療終了後もリテーナー(保定装置)を正しくつけることが必要です。
27歳6か月・女性 治療期間:1年2か月 治療回数:26回







八重歯とガタガタを気にして来院された27歳6か月の女性です。上下顎左右側第一小臼歯を抜歯してマルチブラケット治療を行いました。治療期間は1年2か月で、歯並び・かみ合わせとも良好に改善しました。
| 主訴 | 八重歯・ガタガタ |
|---|---|
| 診断 | 上下顎叢生 |
| 初診時年齢・性別 | 27歳6か月・女性 |
| 使用した主な装置 | マルチブラケット装置 |
| 抜歯/非抜歯 および抜歯部位 |
上下顎左右側第一小臼歯抜歯 |
| 治療期間・回数 | 1年2か月 26回 |
| 費用 | 825,000円(税込) |
リスク・副作用
- 矯正治療中は歯ブラシが煩雑なので、虫歯や歯周病(歯肉炎)のリスクが伴います。(クリニックでのブラッシング指導、ご本人のハミガキを日々しっかり行っていただく必要があります)
- 歯科医師による(かかりつけの歯科医院)虫歯の定期検診やフッ素塗布などをお勧めします。
- 永久歯の矯正治療では治療中に歯根吸収や歯茎退縮が生じる場合があります。
- 歯の移動や日々の食生活の思わぬ変化により、装置が変形することがあります。そのため内頬を傷つけることがまれにあります。その場合はワイヤーの調整やカットを随時行います。
- 硬い食べ物や繊維質の食べ物は、装置が外れたり壊れたりすることがあります。装置への負担の関係からできるだけ気にかけて食事を摂るようにしてください。
- 矯正治療後は個人差がありますが、歯が後戻りすることがあります(移動した歯は元の位置に戻ろうとします)。そのため治療終了後もリテーナー(保定装置)を正しくつけることが必要です。
31歳2か月・女性 治療期間:3年0か月 治療回数:31回







上の八重歯と下のガタガタを気にして来院された31歳2か月の女性です。上顎左右側第一小臼歯を抜歯してマルチブラケット治療を行いました。治療期間は3年0か月で、歯並び・かみ合わせとも良好に改善しました。
| 主訴 | 八重歯・ガタガタ |
|---|---|
| 診断 | 上下顎叢生 |
| 初診時年齢・性別 | 31歳2か月・女性 |
| 使用した主な装置 | マルチブラケット装置(ハーフリンガル) |
| 抜歯/非抜歯 および抜歯部位 |
上顎左右側第一小臼歯抜歯 |
| 治療期間・回数 | 3年0か月 31回 |
| 費用 | 110,000円(税込) |
リスク・副作用
- 矯正治療中は歯ブラシが煩雑なので、虫歯や歯周病(歯肉炎)のリスクが伴います。(クリニックでのブラッシング指導、ご本人のハミガキを日々しっかり行っていただく必要があります)
- 歯科医師による(かかりつけの歯科医院)虫歯の定期検診やフッ素塗布などをお勧めします。
- 永久歯の矯正治療では治療中に歯根吸収や歯茎退縮が生じる場合があります。
- 歯の移動や日々の食生活の思わぬ変化により、装置が変形することがあります。そのため内頬を傷つけることがまれにあります。その場合はワイヤーの調整やカットを随時行います。
- 硬い食べ物や繊維質の食べ物は、装置が外れたり壊れたりすることがあります。装置への負担の関係からできるだけ気にかけて食事を摂るようにしてください。
- 矯正治療後は個人差がありますが、歯が後戻りすることがあります(移動した歯は元の位置に戻ろうとします)。そのため治療終了後もリテーナー(保定装置)を正しくつけることが必要です。
13歳9か月・女性 治療期間:1年10か月 治療回数:25回







上下の前突を気にして来院された13歳9か月の女性です。上下顎左右側第一小臼歯を抜歯してマルチブラケット治療を行いました。治療期間は1年10か月で、歯並び・かみ合わせとも良好に改善しました。
| 主訴 | 出っ歯 |
|---|---|
| 診断 | 上下顎前突 |
| 初診時年齢・性別 | 13歳9か月・女性 |
| 使用した主な装置 | マルチブラケット装置 |
| 抜歯/非抜歯 および抜歯部位 |
上下顎左右側第一小臼歯抜歯 |
| 治療期間・回数 | 1年10か月 25回 |
| 費用 | 770,000円(税込) |
リスク・副作用
- 矯正治療中は歯ブラシが煩雑なので、虫歯や歯周病(歯肉炎)のリスクが伴います。(クリニックでのブラッシング指導、ご本人のハミガキを日々しっかり行っていただく必要があります)
- 歯科医師による(かかりつけの歯科医院)虫歯の定期検診やフッ素塗布などをお勧めします。
- 永久歯の矯正治療では治療中に歯根吸収や歯茎退縮が生じる場合があります。
- 歯の移動や日々の食生活の思わぬ変化により、装置が変形することがあります。そのため内頬を傷つけることがまれにあります。その場合はワイヤーの調整やカットを随時行います。
- 硬い食べ物や繊維質の食べ物は、装置が外れたり壊れたりすることがあります。装置への負担の関係からできるだけ気にかけて食事を摂るようにしてください。
- 矯正治療後は個人差がありますが、歯が後戻りすることがあります(移動した歯は元の位置に戻ろうとします)。そのため治療終了後もリテーナー(保定装置)を正しくつけることが必要です。
16歳10か月・女性 治療期間:1年9か月 治療回数:25回







上下の前突を気にして来院された16歳10か月の女性です。上下顎左右側第一小臼歯を抜歯してマルチブラケット治療を行いました。治療期間は1年9か月で、歯並び・かみ合わせとも良好に改善しました。
| 主訴 | 口元の突出・下の前歯のガタガタ |
|---|---|
| 診断 | 上下顎前突・叢生 |
| 初診時年齢・性別 | 16歳10か月・女性 |
| 使用した主な装置 | マルチブラケット装置 |
| 抜歯/非抜歯 および抜歯部位 |
上下顎左右側第一小臼歯抜歯 |
| 治療期間・回数 | 1年9か月 25回 |
| 費用 | 825,000円(税込) |
リスク・副作用
- 矯正治療中は歯ブラシが煩雑なので、虫歯や歯周病(歯肉炎)のリスクが伴います。(クリニックでのブラッシング指導、ご本人のハミガキを日々しっかり行っていただく必要があります)
- 歯科医師による(かかりつけの歯科医院)虫歯の定期検診やフッ素塗布などをお勧めします。
- 永久歯の矯正治療では治療中に歯根吸収や歯茎退縮が生じる場合があります。
- 歯の移動や日々の食生活の思わぬ変化により、装置が変形することがあります。そのため内頬を傷つけることがまれにあります。その場合はワイヤーの調整やカットを随時行います。
- 硬い食べ物や繊維質の食べ物は、装置が外れたり壊れたりすることがあります。装置への負担の関係からできるだけ気にかけて食事を摂るようにしてください。
- 矯正治療後は個人差がありますが、歯が後戻りすることがあります(移動した歯は元の位置に戻ろうとします)。そのため治療終了後もリテーナー(保定装置)を正しくつけることが必要です。
14歳3か月・女性 治療期間:2年0か月 治療回数:28回







上の歯のガタガタを気にして来院された14歳3か月の女性です。上下顎左右側第一小臼歯を抜歯してマルチブラケット治療を行いました。治療期間は2年0か月で、歯並び・かみ合わせとも良好に改善しました。
| 主訴 | 上の前歯のガタガタ |
|---|---|
| 診断 | 叢生・下顎前突 |
| 初診時年齢・性別 | 14歳3か月・女性 |
| 使用した主な装置 | マルチブラケット装置 |
| 抜歯/非抜歯 および抜歯部位 |
上下顎左右側第一小臼歯抜歯 |
| 治療期間・回数 | 2年0か月 28回 |
| 費用 | 825,000円(税込) |
リスク・副作用
- 矯正治療中は歯ブラシが煩雑なので、虫歯や歯周病(歯肉炎)のリスクが伴います。(クリニックでのブラッシング指導、ご本人のハミガキを日々しっかり行っていただく必要があります)
- 歯科医師による(かかりつけの歯科医院)虫歯の定期検診やフッ素塗布などをお勧めします。
- 永久歯の矯正治療では治療中に歯根吸収や歯茎退縮が生じる場合があります。
- 歯の移動や日々の食生活の思わぬ変化により、装置が変形することがあります。そのため内頬を傷つけることがまれにあります。その場合はワイヤーの調整やカットを随時行います。
- 硬い食べ物や繊維質の食べ物は、装置が外れたり壊れたりすることがあります。装置への負担の関係からできるだけ気にかけて食事を摂るようにしてください。
- 矯正治療後は個人差がありますが、歯が後戻りすることがあります(移動した歯は元の位置に戻ろうとします)。そのため治療終了後もリテーナー(保定装置)を正しくつけることが必要です。
25歳1か月・女性 治療期間:4年0か月 治療回数:38回







上下の歯のガタガタと口元の突出を気にして来院された25歳1か月の女性です。上下顎左右側第一小臼歯を抜歯してマルチブラケット治療を行いました。治療期間は4年0か月で、歯並び・かみ合わせとも良好に改善しました。
| 主訴 | 上の前歯のガタガタ |
|---|---|
| 診断 | 叢生・上下顎前突 |
| 初診時年齢・性別 | 25歳1か月・女性 |
| 使用した主な装置 | マルチブラケット装置 |
| 抜歯/非抜歯 および抜歯部位 |
上下顎左右側第一小臼歯抜歯 |
| 治療期間・回数 | 4年0か月 38回 |
| 費用 | 825,000円(税込) |
リスク・副作用
- 矯正治療中は歯ブラシが煩雑なので、虫歯や歯周病(歯肉炎)のリスクが伴います。(クリニックでのブラッシング指導、ご本人のハミガキを日々しっかり行っていただく必要があります)
- 歯科医師による(かかりつけの歯科医院)虫歯の定期検診やフッ素塗布などをお勧めします。
- 永久歯の矯正治療では治療中に歯根吸収や歯茎退縮が生じる場合があります。
- 歯の移動や日々の食生活の思わぬ変化により、装置が変形することがあります。そのため内頬を傷つけることがまれにあります。その場合はワイヤーの調整やカットを随時行います。
- 硬い食べ物や繊維質の食べ物は、装置が外れたり壊れたりすることがあります。装置への負担の関係からできるだけ気にかけて食事を摂るようにしてください。
- 矯正治療後は個人差がありますが、歯が後戻りすることがあります(移動した歯は元の位置に戻ろうとします)。そのため治療終了後もリテーナー(保定装置)を正しくつけることが必要です。
11歳6か月・女性 治療期間:1年6か月 治療回数:18回







上の歯のガタガタを気にして来院された11歳6か月の女性です。上顎左右側第一小臼歯を抜歯してマルチブラケット治療を行いました。治療期間は1年6か月で、歯並び・かみ合わせとも良好に改善しました。
| 主訴 | 上の前歯のガタガタ |
|---|---|
| 診断 | 叢生 |
| 年齢・性別 | 11歳6か月・女性 |
| 使用した主な装置 | マルチブラケット装置 |
| 抜歯/非抜歯 および抜歯部位 |
上顎左右側第一小臼歯抜歯 |
| 治療期間・回数 | 1年6か月 18回 |
| 費用 | 770,000円(税込) |
リスク・副作用
- 矯正治療中は歯ブラシが煩雑なので、虫歯や歯周病(歯肉炎)のリスクが伴います。(クリニックでのブラッシング指導、ご本人のハミガキを日々しっかり行っていただく必要があります)
- 歯科医師による(かかりつけの歯科医院)虫歯の定期検診やフッ素塗布などをお勧めします。
- 永久歯の矯正治療では治療中に歯根吸収や歯茎退縮が生じる場合があります。
- 歯の移動や日々の食生活の思わぬ変化により、装置が変形することがあります。そのため内頬を傷つけることがまれにあります。その場合はワイヤーの調整やカットを随時行います。
- 硬い食べ物や繊維質の食べ物は、装置が外れたり壊れたりすることがあります。装置への負担の関係からできるだけ気にかけて食事を摂るようにしてください。
- 矯正治療後は個人差がありますが、歯が後戻りすることがあります(移動した歯は元の位置に戻ろうとします)。そのため治療終了後もリテーナー(保定装置)を正しくつけることが必要です。
10歳6か月・女性 治療期間:2年0か月 治療回数:28回











上の歯のガタガタと口元の突出を気にして来院された10歳6か月の女性です。永久歯の萌出経過を1年程観察した後、上下顎左右側第一小臼歯を抜歯してマルチブラケット治療を行いました。治療期間は2年0か月で、歯並び・かみ合わせとも良好に改善しました。
| 主訴 | 上の前歯のガタガタと出っ歯 |
|---|---|
| 診断 | 上顎前突・叢生 |
| 年齢・性別 | 10歳6か月・女性 |
| 使用した主な装置 | マルチブラケット装置 |
| 抜歯/非抜歯 および抜歯部位 |
上下顎左右側第一小臼歯抜歯 |
| 治療期間・回数 | 2年0か月 28回 |
| 費用 | 770,000円(税込) |
リスク・副作用
- 矯正治療中は歯ブラシが煩雑なので、虫歯や歯周病(歯肉炎)のリスクが伴います。(クリニックでのブラッシング指導、ご本人のハミガキを日々しっかり行っていただく必要があります)
- 歯科医師による(かかりつけの歯科医院)虫歯の定期検診やフッ素塗布などをお勧めします。
- 永久歯の矯正治療では治療中に歯根吸収や歯茎退縮が生じる場合があります。
- 歯の移動や日々の食生活の思わぬ変化により、装置が変形することがあります。そのため内頬を傷つけることがまれにあります。その場合はワイヤーの調整やカットを随時行います。
- 硬い食べ物や繊維質の食べ物は、装置が外れたり壊れたりすることがあります。装置への負担の関係からできるだけ気にかけて食事を摂るようにしてください。
- 矯正治療後は個人差がありますが、歯が後戻りすることがあります(移動した歯は元の位置に戻ろうとします)。そのため治療終了後もリテーナー(保定装置)を正しくつけることが必要です。
37歳2か月・女性 治療期間:2年1か月 治療回数:30回









上下の歯のガタガタを気にして来院された37歳2か月の女性です。上下顎左右側第一小臼歯を抜歯してマルチブラケット治療を行いました。治療期間は2年1か月で、歯並び・かみ合わせとも良好に改善しました。
| 主訴 | 上下の前歯のガタガタ |
|---|---|
| 診断 | 叢生 |
| 年齢・性別 | 37歳2か月・女性 |
| 使用した主な装置 | マルチブラケット装置 |
| 抜歯/非抜歯 および抜歯部位 |
上下顎左右側第一小臼歯抜歯 |
| 治療期間・回数 | 2年1か月 30回 |
| 費用 | 825,000円(税込) |
リスク・副作用
- 矯正治療中は歯ブラシが煩雑なので、虫歯や歯周病(歯肉炎)のリスクが伴います。(クリニックでのブラッシング指導、ご本人のハミガキを日々しっかり行っていただく必要があります)
- 歯科医師による(かかりつけの歯科医院)虫歯の定期検診やフッ素塗布などをお勧めします。
- 永久歯の矯正治療では治療中に歯根吸収や歯茎退縮が生じる場合があります。
- 歯の移動や日々の食生活の思わぬ変化により、装置が変形することがあります。そのため内頬を傷つけることがまれにあります。その場合はワイヤーの調整やカットを随時行います。
- 硬い食べ物や繊維質の食べ物は、装置が外れたり壊れたりすることがあります。装置への負担の関係からできるだけ気にかけて食事を摂るようにしてください。
- 矯正治療後は個人差がありますが、歯が後戻りすることがあります(移動した歯は元の位置に戻ろうとします)。そのため治療終了後もリテーナー(保定装置)を正しくつけることが必要です。
22歳0か月・女性 治療期間:2年5か月 治療回数:35回









上下の歯の突出を気にして来院された22歳0か月の女性です。上下顎左右側第一小臼歯を抜歯してマルチブラケット治療を行いました。治療期間は2年5か月で、歯並び・かみ合わせとも良好に改善しました。
| 主訴 | 上下の前歯の突出 |
|---|---|
| 診断 | 上下顎前突 |
| 年齢・性別 | 22歳0か月・女性 |
| 使用した主な装置 | マルチブラケット装置 |
| 抜歯/非抜歯 および抜歯部位 |
上下顎左右側第一小臼歯抜歯 |
| 治療期間・回数 | 2年5か月 35回 |
| 費用 | 825,000円(税込) |
リスク・副作用
- 矯正治療中は歯ブラシが煩雑なので、虫歯や歯周病(歯肉炎)のリスクが伴います。(クリニックでのブラッシング指導、ご本人のハミガキを日々しっかり行っていただく必要があります)
- 歯科医師による(かかりつけの歯科医院)虫歯の定期検診やフッ素塗布などをお勧めします。
- 永久歯の矯正治療では治療中に歯根吸収や歯茎退縮が生じる場合があります。
- 歯の移動や日々の食生活の思わぬ変化により、装置が変形することがあります。そのため内頬を傷つけることがまれにあります。その場合はワイヤーの調整やカットを随時行います。
- 硬い食べ物や繊維質の食べ物は、装置が外れたり壊れたりすることがあります。装置への負担の関係からできるだけ気にかけて食事を摂るようにしてください。
- 矯正治療後は個人差がありますが、歯が後戻りすることがあります(移動した歯は元の位置に戻ろうとします)。そのため治療終了後もリテーナー(保定装置)を正しくつけることが必要です。
23歳11か月・女性 治療期間:1年6か月 治療回数:20回







上下の歯のガタガタを気にして来院された23歳11か月の女性です。上下顎左右側第一小臼歯を抜歯してマルチブラケット治療を行いました。治療期間は1年6か月で、歯並び・かみ合わせとも良好に改善しました
| 主訴 | ガタガタ・口が閉じられない |
|---|---|
| 診断 | 上下顎叢生・開咬 |
| 年齢・性別 | 23歳11か月・女性 |
| 使用した主な装置 | マルチブラケット装置 |
| 抜歯/非抜歯 および抜歯部位 |
上下顎左右側第一小臼歯抜歯 |
| 治療期間・回数 | 1年6か月 20回 |
| 費用 | 825,000円(税込) |
リスク・副作用
- 矯正治療中は歯ブラシが煩雑なので、虫歯や歯周病(歯肉炎)のリスクが伴います。(クリニックでのブラッシング指導、ご本人のハミガキを日々しっかり行っていただく必要があります)
- 歯科医師による(かかりつけの歯科医院)虫歯の定期検診やフッ素塗布などをお勧めします。
- 永久歯の矯正治療では治療中に歯根吸収や歯茎退縮が生じる場合があります。
- 歯の移動や日々の食生活の思わぬ変化により、装置が変形することがあります。そのため内頬を傷つけることがまれにあります。その場合はワイヤーの調整やカットを随時行います。
- 硬い食べ物や繊維質の食べ物は、装置が外れたり壊れたりすることがあります。装置への負担の関係からできるだけ気にかけて食事を摂るようにしてください。
- 矯正治療後は個人差がありますが、歯が後戻りすることがあります(移動した歯は元の位置に戻ろうとします)。そのため治療終了後もリテーナー(保定装置)を正しくつけることが必要です。
12歳9か月・女性 治療期間:1年2か月 治療回数:18回









上下の歯のガタガタを気にして来院された12歳9か月の女性です。歯を抜かずにマルチブラケット治療を行いました。治療期間は1年2か月で、歯並び・かみ合わせとも良好に改善しました。
| 主訴 | ガタガタ |
|---|---|
| 診断 | 上下顎叢生 |
| 年齢・性別 | 12歳9か月・女性 |
| 使用した主な装置 | マルチブラケット装置 |
| 抜歯/非抜歯 および抜歯部位 |
非抜歯 |
| 治療期間・回数 | 1年2か月 18回 |
| 費用 | 770,000円(税込) |
リスク・副作用
- 矯正治療中は歯ブラシが煩雑なので、虫歯や歯周病(歯肉炎)のリスクが伴います。(クリニックでのブラッシング指導、ご本人のハミガキを日々しっかり行っていただく必要があります)
- 歯科医師による(かかりつけの歯科医院)虫歯の定期検診やフッ素塗布などをお勧めします。
- 永久歯の矯正治療では治療中に歯根吸収や歯茎退縮が生じる場合があります。
- 歯の移動や日々の食生活の思わぬ変化により、装置が変形することがあります。そのため内頬を傷つけることがまれにあります。その場合はワイヤーの調整やカットを随時行います。
- 硬い食べ物や繊維質の食べ物は、装置が外れたり壊れたりすることがあります。装置への負担の関係からできるだけ気にかけて食事を摂るようにしてください。
- 矯正治療後は個人差がありますが、歯が後戻りすることがあります(移動した歯は元の位置に戻ろうとします)。そのため治療終了後もリテーナー(保定装置)を正しくつけることが必要です。
25歳7か月・女性 治療期間:1年9か月 治療回数:24回











上下の歯のガタガタを気にして来院された25歳7か月の女性です。上下左右第一小臼歯を抜歯してマルチブラケット治療を行いました。治療期間は1年9か月で、歯並び・かみ合わせとも良好に改善しました。
| 主訴 | ガタガタ |
|---|---|
| 診断 | 上下顎叢生 |
| 年齢・性別 | 25歳7か月・女性 |
| 使用した主な装置 | マルチブラケット装置 |
| 抜歯/非抜歯 および抜歯部位 |
上下左右第一小臼歯抜歯 |
| 治療期間・回数 | 1年9か月 24回 |
| 費用 | 825,000円(税込) |
リスク・副作用
- 矯正治療中は歯ブラシが煩雑なので、虫歯や歯周病(歯肉炎)のリスクが伴います。(クリニックでのブラッシング指導、ご本人のハミガキを日々しっかり行っていただく必要があります)
- 歯科医師による(かかりつけの歯科医院)虫歯の定期検診やフッ素塗布などをお勧めします。
- 永久歯の矯正治療では治療中に歯根吸収や歯茎退縮が生じる場合があります。
- 歯の移動や日々の食生活の思わぬ変化により、装置が変形することがあります。そのため内頬を傷つけることがまれにあります。その場合はワイヤーの調整やカットを随時行います。
- 硬い食べ物や繊維質の食べ物は、装置が外れたり壊れたりすることがあります。装置への負担の関係からできるだけ気にかけて食事を摂るようにしてください。
- 矯正治療後は個人差がありますが、歯が後戻りすることがあります(移動した歯は元の位置に戻ろうとします)。そのため治療終了後もリテーナー(保定装置)を正しくつけることが必要です。
24歳5か月・女性 治療期間:2年0か月 治療回数:27回
上下の歯のガタガタを気にして来院された24歳5か月の女性です。上下左右第一小臼歯を抜歯してマルチブラケット治療を行いました。治療期間は2年0か月で、歯並び・かみ合わせとも良好に改善しました。
| 主訴 | ガタガタ |
|---|---|
| 診断 | 上下顎叢生 |
| 年齢・性別 | 24歳5か月・女性 |
| 使用した主な装置 | マルチブラケット装置 |
| 抜歯/非抜歯 および抜歯部位 |
上下左右第一小臼歯抜歯 |
| 治療期間・回数 | 2年0か月 27回 |
| 費用 | 825,000円(税込) |
リスク・副作用
- 矯正治療中は歯ブラシが煩雑なので、虫歯や歯周病(歯肉炎)のリスクが伴います。(クリニックでのブラッシング指導、ご本人のハミガキを日々しっかり行っていただく必要があります)
- 歯科医師による(かかりつけの歯科医院)虫歯の定期検診やフッ素塗布などをお勧めします。
- 永久歯の矯正治療では治療中に歯根吸収や歯茎退縮が生じる場合があります。
- 歯の移動や日々の食生活の思わぬ変化により、装置が変形することがあります。そのため内頬を傷つけることがまれにあります。その場合はワイヤーの調整やカットを随時行います。
- 硬い食べ物や繊維質の食べ物は、装置が外れたり壊れたりすることがあります。装置への負担の関係からできるだけ気にかけて食事を摂るようにしてください。
- 矯正治療後は個人差がありますが、歯が後戻りすることがあります(移動した歯は元の位置に戻ろうとします)。そのため治療終了後もリテーナー(保定装置)を正しくつけることが必要です。
27歳11か月・女性 治療期間:1年9か月 治療回数:25回











上下の歯のガタガタを気にして来院された27歳11か月の女性です。上左右第一小臼歯を抜歯してマルチブラケット治療を行いました。治療期間は1年9か月で、歯並び・かみ合わせとも良好に改善しました。
| 主訴 | ガタガタ |
|---|---|
| 診断 | 上下顎叢生・過蓋咬合 |
| 年齢・性別 | 27歳11か月・女性 |
| 使用した主な装置 | マルチブラケット装置 |
| 抜歯/非抜歯 および抜歯部位 |
上左右第一小臼歯抜歯 |
| 治療期間・回数 | 1年9か月 25回 |
| 費用 | 825,000円(税込) |
リスク・副作用
- 矯正治療中は歯ブラシが煩雑なので、虫歯や歯周病(歯肉炎)のリスクが伴います。(クリニックでのブラッシング指導、ご本人のハミガキを日々しっかり行っていただく必要があります)
- 歯科医師による(かかりつけの歯科医院)虫歯の定期検診やフッ素塗布などをお勧めします。
- 永久歯の矯正治療では治療中に歯根吸収や歯茎退縮が生じる場合があります。
- 歯の移動や日々の食生活の思わぬ変化により、装置が変形することがあります。そのため内頬を傷つけることがまれにあります。その場合はワイヤーの調整やカットを随時行います。
- 硬い食べ物や繊維質の食べ物は、装置が外れたり壊れたりすることがあります。装置への負担の関係からできるだけ気にかけて食事を摂るようにしてください。
- 矯正治療後は個人差がありますが、歯が後戻りすることがあります(移動した歯は元の位置に戻ろうとします)。そのため治療終了後もリテーナー(保定装置)を正しくつけることが必要です。
17歳10か月・女性 治療期間:2年2か月 治療回数:31回











上下の歯の前突を気にして来院された17歳10か月の女性です。上下左右第一小臼歯を抜歯してマルチブラケット治療を行いました。治療期間は2年2か月で、側貌・歯並び・かみ合わせとも良好に改善しました。
| 主訴 | 出っ歯 |
|---|---|
| 診断 | 上下顎前突・叢生 |
| 年齢・性別 | 17歳10か月・女性 |
| 使用した主な装置 | マルチブラケット装置 |
| 抜歯/非抜歯 および抜歯部位 |
上下左右第一小臼歯抜歯 |
| 治療期間・回数 | 2年2か月 31回 |
| 費用 | 825,000円(税込) |
リスク・副作用
- 矯正治療中は歯ブラシが煩雑なので、虫歯や歯周病(歯肉炎)のリスクが伴います。(クリニックでのブラッシング指導、ご本人のハミガキを日々しっかり行っていただく必要があります)
- 歯科医師による(かかりつけの歯科医院)虫歯の定期検診やフッ素塗布などをお勧めします。
- 永久歯の矯正治療では治療中に歯根吸収や歯茎退縮が生じる場合があります。
- 歯の移動や日々の食生活の思わぬ変化により、装置が変形することがあります。そのため内頬を傷つけることがまれにあります。その場合はワイヤーの調整やカットを随時行います。
- 硬い食べ物や繊維質の食べ物は、装置が外れたり壊れたりすることがあります。装置への負担の関係からできるだけ気にかけて食事を摂るようにしてください。
- 矯正治療後は個人差がありますが、歯が後戻りすることがあります(移動した歯は元の位置に戻ろうとします)。そのため治療終了後もリテーナー(保定装置)を正しくつけることが必要です。
29歳1か月・女性 治療期間:1年7か月 治療回数:31回
開咬と上の歯のガタガタを気にして来院された29歳1か月の女性です。上下左右第一小臼歯を抜歯してマルチブラケット治療を行いました。治療期間は1年7か月で、側貌・歯並び・かみ合わせとも良好に改善しました。
| 主訴 | 前歯が噛み合わさない |
|---|---|
| 診断 | 開咬・上下顎前突・叢生 |
| 年齢・性別 | 29歳1か月・女性 |
| 使用した主な装置 | マルチブラケット装置 |
| 抜歯/非抜歯 および抜歯部位 |
上下左右第一小臼歯抜歯 |
| 治療期間・回数 | 1年7か月 31回 |
| 費用 | 825,000円(税込) |
リスク・副作用
- 矯正治療中は歯ブラシが煩雑なので、虫歯や歯周病(歯肉炎)のリスクが伴います。(クリニックでのブラッシング指導、ご本人のハミガキを日々しっかり行っていただく必要があります)
- 歯科医師による(かかりつけの歯科医院)虫歯の定期検診やフッ素塗布などをお勧めします。
- 永久歯の矯正治療では治療中に歯根吸収や歯茎退縮が生じる場合があります。
- 歯の移動や日々の食生活の思わぬ変化により、装置が変形することがあります。そのため内頬を傷つけることがまれにあります。その場合はワイヤーの調整やカットを随時行います。
- 硬い食べ物や繊維質の食べ物は、装置が外れたり壊れたりすることがあります。装置への負担の関係からできるだけ気にかけて食事を摂るようにしてください。
- 矯正治療後は個人差がありますが、歯が後戻りすることがあります(移動した歯は元の位置に戻ろうとします)。そのため治療終了後もリテーナー(保定装置)を正しくつけることが必要です。
18歳1か月・女性 治療期間:1年11か月 治療回数:30回







上下の歯のガタガタを気にして来院された18歳1か月の女性です。上下左右第一小臼歯を抜歯してマルチブラケット治療を行いました。治療期間は1年11か月で、側貌・歯並び・かみ合わせとも良好に改善しました。
| 主訴 | ガタガタ |
|---|---|
| 診断 | 叢生 |
| 年齢・性別 | 18歳1か月・女性 |
| 使用した主な装置 | マルチブラケット装置 |
| 抜歯/非抜歯 および抜歯部位 |
上下左右第一小臼歯抜歯 |
| 治療期間・回数 | 1年11か月 30回 |
| 費用 | 825,000円(税込) |
リスク・副作用
- 矯正治療中は歯ブラシが煩雑なので、虫歯や歯周病(歯肉炎)のリスクが伴います。(クリニックでのブラッシング指導、ご本人のハミガキを日々しっかり行っていただく必要があります)
- 歯科医師による(かかりつけの歯科医院)虫歯の定期検診やフッ素塗布などをお勧めします。
- 永久歯の矯正治療では治療中に歯根吸収や歯茎退縮が生じる場合があります。
- 歯の移動や日々の食生活の思わぬ変化により、装置が変形することがあります。そのため内頬を傷つけることがまれにあります。その場合はワイヤーの調整やカットを随時行います。
- 硬い食べ物や繊維質の食べ物は、装置が外れたり壊れたりすることがあります。装置への負担の関係からできるだけ気にかけて食事を摂るようにしてください。
- 矯正治療後は個人差がありますが、歯が後戻りすることがあります(移動した歯は元の位置に戻ろうとします)。そのため治療終了後もリテーナー(保定装置)を正しくつけることが必要です。
10歳9か月・女性 治療期間:1年5か月 治療回数:15回









上下の歯のガタガタを気にして来院された10歳9か月の女の子です。1年半の小児矯正治療後、非抜歯にてマルチブラケット治療を行いました。マルチブラケット治療期間は1年5か月で、側貌・歯並び・かみ合わせとも良好に改善しました。
| 主訴 | ガタガタ |
|---|---|
| 診断 | 叢生 |
| 年齢・性別 | 10歳9か月・女性 |
| 使用した主な装置 | マルチブラケット装置 |
| 抜歯/非抜歯 および抜歯部位 |
非抜歯 |
| 治療期間・回数 | 1年5か月 15回 |
| 費用 | 770,000円(税込) |
リスク・副作用
- 矯正治療中は歯ブラシが煩雑なので、虫歯や歯周病(歯肉炎)のリスクが伴います。(クリニックでのブラッシング指導、ご本人のハミガキを日々しっかり行っていただく必要があります)
- 歯科医師による(かかりつけの歯科医院)虫歯の定期検診やフッ素塗布などをお勧めします。
- 永久歯の矯正治療では治療中に歯根吸収や歯茎退縮が生じる場合があります。
- 歯の移動や日々の食生活の思わぬ変化により、装置が変形することがあります。そのため内頬を傷つけることがまれにあります。その場合はワイヤーの調整やカットを随時行います。
- 硬い食べ物や繊維質の食べ物は、装置が外れたり壊れたりすることがあります。装置への負担の関係からできるだけ気にかけて食事を摂るようにしてください。
- 矯正治療後は個人差がありますが、歯が後戻りすることがあります(移動した歯は元の位置に戻ろうとします)。そのため治療終了後もリテーナー(保定装置)を正しくつけることが必要です。
13歳7か月・男性 治療期間:1年8か月 治療回数:20回









上の前歯の突出を気にして来院された13歳7か月の男の子です。上の小臼歯を2本抜歯してマルチブラケット治療を行いました。マルチブラケット治療期間は1年8か月で、側貌・歯並び・かみ合わせとも良好に改善しました。
| 主訴 | 出っ歯 |
|---|---|
| 診断 | 上顎前突 |
| 年齢・性別 | 13歳7か月・男性 |
| 使用した主な装置 | マルチブラケット装置 |
| 抜歯/非抜歯 および抜歯部位 |
上顎小臼歯2本抜歯 |
| 治療期間・回数 | 1年8か月 20回 |
| 費用 | 770,000円(税込) |
リスク・副作用
- 矯正治療中は歯ブラシが煩雑なので、虫歯や歯周病(歯肉炎)のリスクが伴います。(クリニックでのブラッシング指導、ご本人のハミガキを日々しっかり行っていただく必要があります)
- 歯科医師による(かかりつけの歯科医院)虫歯の定期検診やフッ素塗布などをお勧めします。
- 永久歯の矯正治療では治療中に歯根吸収や歯茎退縮が生じる場合があります。
- 歯の移動や日々の食生活の思わぬ変化により、装置が変形することがあります。そのため内頬を傷つけることがまれにあります。その場合はワイヤーの調整やカットを随時行います。
- 硬い食べ物や繊維質の食べ物は、装置が外れたり壊れたりすることがあります。装置への負担の関係からできるだけ気にかけて食事を摂るようにしてください。
- 矯正治療後は個人差がありますが、歯が後戻りすることがあります(移動した歯は元の位置に戻ろうとします)。そのため治療終了後もリテーナー(保定装置)を正しくつけることが必要です。
17歳5か月・女性 治療期間:2年1か月 治療回数:28回









上下前歯のガタガタを気にして来院された17歳5か月の女子です。上下の小臼歯を計4本抜歯してマルチブラケット治療を行いました。マルチブラケット治療期間は2年1か月で、側貌・歯並び・かみ合わせとも良好に改善しました。
| 主訴 | ガタガタ |
|---|---|
| 診断 | 叢生 |
| 年齢・性別 | 17歳5か月・女性 |
| 使用した主な装置 | マルチブラケット装置 |
| 抜歯/非抜歯 および抜歯部位 |
上下顎小臼歯4本抜歯 |
| 治療期間・回数 | 2年1か月 28回 |
| 費用 | 825,000円(税込) |
リスク・副作用
- 矯正治療中は歯ブラシが煩雑なので、虫歯や歯周病(歯肉炎)のリスクが伴います。(クリニックでのブラッシング指導、ご本人のハミガキを日々しっかり行っていただく必要があります)
- 一般歯科医師による(かかりつけ医)虫歯の定期検診やフッ素塗布などをお勧めします。
- 永久歯の矯正治療では治療中に歯根吸収や歯茎退縮が生じる場合があります。
- 歯の移動や日々の食生活の思わぬ変化により、装置が変形することがあります。そのため内頬を傷つけることがまれにあります。その場合はワイヤーの調整やカットを随時行います。
- 硬い食べ物や繊維質の食べ物は、装置が外れたり壊れたりすることがあります。装置への負担の関係からできるだけ気にかけて食事を摂るようにしてください。
- 矯正治療後は個人差がありますが、歯が後戻りすることがあります(移動した歯は元の位置に戻ろうとします)。そのため治療終了後もリテーナー(保定装置)を正しくつけることが必要です。
15歳5か月:男性 治療期間:1年10か月 治療回数:19回









出っ歯を気にして来院された15歳5か月の男子です。上の小臼歯を計2本抜歯してマルチブラケット治療を行いました。マルチブラケット治療期間は1年10か月で、側貌・歯並び・かみ合わせとも良好に改善しました。
| 主訴 | 出っ歯・口ごぼ |
|---|---|
| 診断 | 上顎前突 |
| 初診時年齢・性別 | 15歳5か月・男性 |
| 使用した主な装置 | マルチブラケット装置 |
| 抜歯/非抜歯 および抜歯部位 |
上顎小臼歯2本抜歯 |
| 治療期間 回数 | 1年10か月 19回 |
| 費用 | 770,000円(税込) |
リスク・副作用
- 矯正治療中は歯ブラシが煩雑なので、虫歯や歯周病(歯肉炎)のリスクが伴います。(クリニックでのブラッシング指導、ご本人のハミガキを日々しっかり行っていただく必要があります)
- 一般歯科医師による(かかりつけ医)虫歯の定期検診やフッ素塗布などをお勧めします。
- 永久歯の矯正治療では治療中に歯根吸収や歯茎退縮が生じる場合があります。
- 歯の移動や日々の食生活の思わぬ変化により、装置が変形することがあります。そのため内頬を傷つけることがまれにあります。その場合はワイヤーの調整やカットを随時行います。
- 硬い食べ物や繊維質の食べ物は、装置が外れたり壊れたりすることがあります。装置への負担の関係からできるだけ気にかけて食事を摂るようにしてください。
- 矯正治療後は個人差がありますが、歯が後戻りすることがあります(移動した歯は元の位置に戻ろうとします)。そのため治療終了後もリテーナー(保定装置)を正しくつけることが必要です。
36歳7か月:女性 治療期間:2年8か月 治療回数:38回











出っ歯を気にして来院された36歳7か月の女性です。上下の小臼歯を計4本抜歯してマルチブラケット治療を行いました。転居を伴ったため治療期間は長引きましたが、マルチブラケット治療期間は2年8か月で、側貌・歯並び・かみ合わせとも良好に改善しました。
| 主訴 | 出っ歯・口ごぼ |
|---|---|
| 診断 | 上下顎前突 |
| 初診時年齢・性別 | 36歳7か月・女性 |
| 使用した主な装置 | マルチブラケット装置 |
| 抜歯/非抜歯 および抜歯部位 |
上下顎小臼歯4本抜歯 |
| 治療期間 回数 | 2年8か月 38回 |
| 費用 | 825,000円(税込) |
リスク・副作用
- 矯正治療中は歯ブラシが煩雑なので、虫歯や歯周病(歯肉炎)のリスクが伴います。(クリニックでのブラッシング指導、ご本人のハミガキを日々しっかり行っていただく必要があります)
- 一般歯科医師による(かかりつけ医)虫歯の定期検診やフッ素塗布などをお勧めします。
- 永久歯の矯正治療では治療中に歯根吸収や歯茎退縮が生じる場合があります。
- 歯の移動や日々の食生活の思わぬ変化により、装置が変形することがあります。そのため内頬を傷つけることがまれにあります。その場合はワイヤーの調整やカットを随時行います。
- 硬い食べ物や繊維質の食べ物は、装置が外れたり壊れたりすることがあります。装置への負担の関係からできるだけ気にかけて食事を摂るようにしてください。
- 矯正治療後は個人差がありますが、歯が後戻りすることがあります(移動した歯は元の位置に戻ろうとします)。そのため治療終了後もリテーナー(保定装置)を正しくつけることが必要です。
13才4ヶ月:女性 治療期間:2年0ヶ月 治療回数:27回










八重歯を気にして来院された13歳4か月の中学生です。上下の小臼歯を計4本抜歯してマルチブラケット治療を行いました。マルチブラケット治療期間は2年0か月で、歯並び・かみ合わせとも良好に改善しました。
| 主訴 | 八重歯 |
|---|---|
| 診断 | 叢生 |
| 初診時年齢・性別 | 13歳4か月・女性 |
| 使用した主な装置 | マルチブラケット装置 |
| 抜歯/非抜歯 および抜歯部位 |
上下顎小臼歯4本抜歯 |
| 治療期間 | 2年0か月 27回 |
| 費用 | 700,000円(税込) |
リスク・副作用
- 矯正治療中は歯ブラシが煩雑なので、虫歯や歯周病(歯肉炎)のリスクが伴います。(クリニックでのブラッシング指導、ご本人のハミガキを日々しっかり行っていただく必要があります)
- 一般歯科医師による(かかりつけ医)虫歯の定期検診やフッ素塗布などをお勧めします。
- 永久歯の矯正治療では治療中に歯根吸収や歯茎退縮が生じる場合があります。
- 歯の移動や日々の食生活の思わぬ変化により、装置が変形することがあります。そのため内頬を傷つけることがまれにあります。その場合はワイヤーの調整やカットを随時行います。
- 硬い食べ物や繊維質の食べ物は、装置が外れたり壊れたりすることがあります。装置への負担の関係からできるだけ気にかけて食事を摂るようにしてください。
- 矯正治療後は個人差がありますが、歯が後戻りすることがあります(移動した歯は元の位置に戻ろうとします)。そのため治療終了後もリテーナー(保定装置)を正しくつけることが必要です。
24才6ヶ月:女性 治療期間:1年7ヶ月 治療回数:21回









下の歯のガタガタと口元の突出を気にして来院された24歳6か月の女性です。上下の小臼歯を計4本抜歯してマルチブラケット治療を行いました。マルチブラケット治療期間は1年7か月で、歯並び・かみ合わせとも良好に改善しました。
| 主訴 | 出っ歯・ガタガタ |
|---|---|
| 診断 | 上顎前突・叢生 |
| 初診時年齢・性別 | 24歳6か月・女性 |
| 使用した主な装置 | マルチブラケット装置 |
| 抜歯/非抜歯 および抜歯部位 |
上下顎小臼歯4本抜歯 |
| 治療期間 | 1年7か月 21回 |
| 費用 | 750,000円(税別) |
リスク・副作用
- 矯正治療中は歯ブラシが煩雑なので、虫歯や歯周病(歯肉炎)のリスクが伴います。(クリニックでのブラッシング指導、ご本人のハミガキを日々しっかり行っていただく必要があります)
- 一般歯科医師による(かかりつけ医)虫歯の定期検診やフッ素塗布などをお勧めします。
- 永久歯の矯正治療では治療中に歯根吸収や歯茎退縮が生じる場合があります。
- 歯の移動や日々の食生活の思わぬ変化により、装置が変形することがあります。そのため内頬を傷つけることがまれにあります。その場合はワイヤーの調整やカットを随時行います。
- 硬い食べ物や繊維質の食べ物は、装置が外れたり壊れたりすることがあります。装置への負担の関係からできるだけ気にかけて食事を摂るようにしてください。
- 矯正治療後は個人差がありますが、歯が後戻りすることがあります(移動した歯は元の位置に戻ろうとします)。そのため治療終了後もリテーナー(保定装置)を正しくつけることが必要です。
18歳3ヶ月:女性 治療期間:2年0ヶ月 治療回数:27回




出っ歯を気にして来院された18歳3ヶ月の女性です。上の小臼歯を計2本抜歯してマルチブラケット治療を行いました。マルチブラケット治療期間は2年0ヶ月で、歯並び・かみ合わせとも良好に改善しました。
| 主訴 | 出っ歯・口ゴボ |
|---|---|
| 診断 | 上顎前突・叢生 |
| 初診時年齢・性別 | 18歳3ヶ月・女性 |
| 使用した主な装置 | マルチブラケット装置 |
| 抜歯/非抜歯 および抜歯部位 |
上顎小臼歯2本抜歯 |
| 治療期間 | 2年0ヶ月 27回 |
| 費用 | 750,000円(税別) |
リスク・副作用
- 矯正治療中は歯ブラシが煩雑なので、虫歯や歯周病(歯肉炎)のリスクが伴います。(クリニックでのブラッシング指導、ご本人のハミガキを日々しっかり行っていただく必要があります)
- 一般歯科医師による(かかりつけ医)虫歯の定期検診やフッ素塗布などをお勧めします。
- 永久歯の矯正治療では治療中に歯根吸収や歯茎退縮が生じる場合があります。
- 歯の移動や日々の食生活の思わぬ変化により、装置が変形することがあります。そのため内頬を傷つけることがまれにあります。その場合はワイヤーの調整やカットを随時行います。
- 硬い食べ物や繊維質の食べ物は、装置が外れたり壊れたりすることがあります。装置への負担の関係からできるだけ気にかけて食事を摂るようにしてください。
- 矯正治療後は個人差がありますが、歯が後戻りすることがあります(移動した歯は元の位置に戻ろうとします)。そのため治療終了後もリテーナー(保定装置)を正しくつけることが必要です。
26歳8ヶ月:女性 治療期間:1年10ヶ月 治療回数:25回










出っ歯とガタガタを気にして来院された26歳8か月の女性です。上下の小臼歯を計4本抜歯してマルチブラケット治療を行いました。マルチブラケット治療期間は1年10か月で、歯並び・かみ合わせとも良好に改善しました。
| 主訴 | 出っ歯・口ゴボ・ガタガタ |
|---|---|
| 診断 | 上顎前突・叢生 |
| 初診時年齢・性別 | 26歳8か月・女性 |
| 使用した主な装置 | マルチブラケット装置 |
| 抜歯/非抜歯 および抜歯部位 |
上下顎小臼歯4本抜歯 |
| 治療期間 | 1年10か月 25回 |
| 費用 | 750,000円(税別) |
リスク・副作用
- 矯正治療中は歯ブラシが煩雑なので、虫歯や歯周病(歯肉炎)のリスクが伴います。(クリニックでのブラッシング指導、ご本人のハミガキを日々しっかり行っていただく必要があります)
- 一般歯科医師による(かかりつけ医)虫歯の定期検診やフッ素塗布などをお勧めします。
- 永久歯の矯正治療では治療中に歯根吸収や歯茎退縮が生じる場合があります。
- 歯の移動や日々の食生活の思わぬ変化により、装置が変形することがあります。そのため内頬を傷つけることがまれにあります。その場合はワイヤーの調整やカットを随時行います。
- 硬い食べ物や繊維質の食べ物は、装置が外れたり壊れたりすることがあります。装置への負担の関係からできるだけ気にかけて食事を摂るようにしてください。
- 矯正治療後は個人差がありますが、歯が後戻りすることがあります(移動した歯は元の位置に戻ろうとします)。そのため治療終了後もリテーナー(保定装置)を正しくつけることが必要です。
20歳9ヶ月:女性 治療期間:1年2ヶ月 治療回数:19回














出っ歯ガタガタを気にして来院された20歳9か月の女性です。上下の小臼歯を計4本抜歯してマルチブラケット治療を行いました。マルチブラケット治療期間は1年2か月で、歯並び・かみ合わせとも良好に改善しました。
| 主訴 | ガタガタ・口ゴボ・出っ歯 |
|---|---|
| 診断 | 上顎前突・叢生 |
| 初診時年齢・性別 | 20歳9か月・女性 |
| 使用した主な装置 | マルチブラケット装置 |
| 抜歯/非抜歯 および抜歯部位 |
上下顎小臼歯4本抜歯 |
| 治療期間 | 1年2か月 19回 |
| 費用 | 750,000円(税別) |
リスク・副作用
- 矯正治療中は歯ブラシが煩雑なので、虫歯や歯周病(歯肉炎)のリスクが伴います。(クリニックでのブラッシング指導、ご本人のハミガキを日々しっかり行っていただく必要があります)
- 一般歯科医師による(かかりつけ医)虫歯の定期検診やフッ素塗布などをお勧めします。
- 永久歯の矯正治療では治療中に歯根吸収や歯茎退縮が生じる場合があります。
- 歯の移動や日々の食生活の思わぬ変化により、装置が変形することがあります。そのため内頬を傷つけることがまれにあります。その場合はワイヤーの調整やカットを随時行います。
- 硬い食べ物や繊維質の食べ物は、装置が外れたり壊れたりすることがあります。装置への負担の関係からできるだけ気にかけて食事を摂るようにしてください。
- 矯正治療後は個人差がありますが、歯が後戻りすることがあります(移動した歯は元の位置に戻ろうとします)。そのため治療終了後もリテーナー(保定装置)を正しくつけることが必要です。
27歳0ヶ月:女性 治療期間:1年5ヶ月 治療回数:20回














ガタガタを気にして来院された27歳0か月の女性です。前医で上顎の抜歯を行った後に転院され、下の小臼歯も2本抜歯してマルチブラケット治療を行いました。マルチブラケット治療期間は1年5か月で、歯並び・かみ合わせとも良好に改善しました。
| 主訴 | ガタガタ・口ゴボ |
|---|---|
| 診断 | 叢生 |
| 初診時年齢・性別 | 27歳0か月・女性 |
| 使用した主な装置 | マルチブラケット装置 |
| 抜歯/非抜歯 および抜歯部位 |
上下顎小臼歯4本抜歯 |
| 治療期間 | 1年5か月 20回 |
| 費用 | 750,000円(税別) |
リスク・副作用
- 矯正治療中は歯ブラシが煩雑なので、虫歯や歯周病(歯肉炎)のリスクが伴います。(クリニックでのブラッシング指導、ご本人のハミガキを日々しっかり行っていただく必要があります)
- 一般歯科医師による(かかりつけ医)虫歯の定期検診やフッ素塗布などをお勧めします。
- 永久歯の矯正治療では治療中に歯根吸収や歯茎退縮が生じる場合があります。
- 歯の移動や日々の食生活の思わぬ変化により、装置が変形することがあります。そのため内頬を傷つけることがまれにあります。その場合はワイヤーの調整やカットを随時行います。
- 硬い食べ物や繊維質の食べ物は、装置が外れたり壊れたりすることがあります。装置への負担の関係からできるだけ気にかけて食事を摂るようにしてください。
- 矯正治療後は個人差がありますが、歯が後戻りすることがあります(移動した歯は元の位置に戻ろうとします)。そのため治療終了後もリテーナー(保定装置)を正しくつけることが必要です。
20歳1ヶ月:女性 治療期間:1年2ヶ月 治療回数:15回










出っ歯と乳歯の残存を気にされて来院した20歳1か月の女性です。左右の上顎残存乳犬歯2本を抜歯してマルチブラケット治療を行いました。マルチブラケット治療期間は1年2か月で、歯並び・かみ合わせとも良好に改善しました。
| 主訴 | 出っ歯・乳歯の残存 |
|---|---|
| 診断 | 上顎前突 |
| 初診時年齢・性別 | 20歳1か月・女性 |
| 使用した主な装置 | マルチブラケット装置 |
| 抜歯/非抜歯 および抜歯部位 |
上顎乳犬歯2本抜歯 |
| 治療期間 | 1年2か月 15回 |
| 費用 | 750,000円(税別) |
リスク・副作用
- 矯正治療中は歯ブラシが煩雑なので、虫歯や歯周病(歯肉炎)のリスクが伴います。(クリニックでのブラッシング指導、ご本人のハミガキを日々しっかり行っていただく必要があります)
- 一般歯科医師による(かかりつけ医)虫歯の定期検診やフッ素塗布などをお勧めします。
- 永久歯の矯正治療では治療中に歯根吸収や歯茎退縮が生じる場合があります。
- 歯の移動や日々の食生活の思わぬ変化により、装置が変形することがあります。そのため内頬を傷つけることがまれにあります。その場合はワイヤーの調整やカットを随時行います。
- 硬い食べ物や繊維質の食べ物は、装置が外れたり壊れたりすることがあります。装置への負担の関係からできるだけ気にかけて食事を摂るようにしてください。
- 矯正治療後は個人差がありますが、歯が後戻りすることがあります(移動した歯は元の位置に戻ろうとします)。そのため治療終了後もリテーナー(保定装置)を正しくつけることが必要です。
38歳11か月:女性 治療期間:2年2か月 治療回数:30回







開咬による咬み合わせの悪さを気にされて来院した38歳11か月の女性です。左右上下顎小臼歯4本を抜歯してマルチブラケット治療を行いました。
マルチブラケット治療期間は2年2か月で、歯並び・かみ合わせとも良好に改善しました。
| 主訴 | 咬めない |
|---|---|
| 診断 | 開咬 |
| 初診時年齢・性別 | 38歳11か月・女性 |
| 使用した主な装置 | マルチブラケット装置 |
| 抜歯/非抜歯 および抜歯部位 |
上顎乳犬歯2本抜歯 |
| 治療期間 | 2年2か月 30回 |
| 費用 | 750,000円(税別) |
リスク・副作用
- 矯正治療中は歯ブラシが煩雑なので、虫歯や歯周病(歯肉炎)のリスクが伴います。(クリニックでのブラッシング指導、ご本人のハミガキを日々しっかり行っていただく必要があります)
- 一般歯科医師による(かかりつけ医)虫歯の定期検診やフッ素塗布などをお勧めします。
- 永久歯の矯正治療では治療中に歯根吸収や歯茎退縮が生じる場合があります。
- 歯の移動や日々の食生活の思わぬ変化により、装置が変形することがあります。そのため内頬を傷つけることがまれにあります。その場合はワイヤーの調整やカットを随時行います。
- 硬い食べ物や繊維質の食べ物は、装置が外れたり壊れたりすることがあります。装置への負担の関係からできるだけ気にかけて食事を摂るようにしてください。
- 矯正治療後は個人差がありますが、歯が後戻りすることがあります(移動した歯は元の位置に戻ろうとします)。そのため治療終了後もリテーナー(保定装置)を正しくつけることが必要です。
12歳8ヶ月:女性 治療期間:1年10ヶ月 治療回数:19回










上の歯のガタガタを気にされて来院した12歳8か月の女性です。歯牙の大きさがとても大きかったので左右上下顎小臼歯4本を抜歯してマルチブラケット治療を行いました。マルチブラケット治療期間は1年10か月で、歯並び・かみ合わせとも良好に改善しました。
| 主訴 | ガタガタ |
|---|---|
| 診断 | 叢生・上顎前突 |
| 初診時年齢・性別 | 12歳8か月・女性 |
| 使用した主な装置 | マルチブラケット装置 |
| 抜歯/非抜歯 および抜歯部位 |
上下顎小臼歯4本 |
| 治療期間 | 1年10か月 19回 |
| 費用 | 700,000円(税別) |
リスク・副作用
- 矯正治療中は歯ブラシが煩雑なので、虫歯や歯周病(歯肉炎)のリスクが伴います。(クリニックでのブラッシング指導、ご本人のハミガキを日々しっかり行っていただく必要があります)
- 一般歯科医師による(かかりつけ医)虫歯の定期検診やフッ素塗布などをお勧めします。
- 永久歯の矯正治療では治療中に歯根吸収や歯茎退縮が生じる場合があります。
- 歯の移動や日々の食生活の思わぬ変化により、装置が変形することがあります。そのため内頬を傷つけることがまれにあります。その場合はワイヤーの調整やカットを随時行います。
- 硬い食べ物や繊維質の食べ物は、装置が外れたり壊れたりすることがあります。装置への負担の関係からできるだけ気にかけて食事を摂るようにしてください。
- 矯正治療後は個人差がありますが、歯が後戻りすることがあります(移動した歯は元の位置に戻ろうとします)。そのため治療終了後もリテーナー(保定装置)を正しくつけることが必要です。
30歳11ヶ月:男性 治療期間:1年11ヶ月 治療回数:25回














上下の歯のガタガタと咬み合わせの悪さを気にされて来院した30歳11か月の男性です。上下顎左右側小臼歯4本を抜歯してマルチブラケット治療を行いました。マルチブラケット治療期間は1年11か月で、歯並び・かみ合わせとも良好に改善しました。
| 主訴 | ガタガタ |
|---|---|
| 診断 | 叢生・下顎前突 |
| 初診時年齢・性別 | 30歳11か月・男性 |
| 使用した主な装置 | マルチブラケット装置 |
| 抜歯/非抜歯 および抜歯部位 |
上下顎小臼歯4本 |
| 治療期間 | 1年11か月 25回 |
| 費用 | 750,000円(税別) |
リスク・副作用
- 矯正治療中は歯ブラシが煩雑なので、虫歯や歯周病(歯肉炎)のリスクが伴います。(クリニックでのブラッシング指導、ご本人のハミガキを日々しっかり行っていただく必要があります)
- 一般歯科医師による(かかりつけ医)虫歯の定期検診やフッ素塗布などをお勧めします。
- 永久歯の矯正治療では治療中に歯根吸収や歯茎退縮が生じる場合があります。
- 歯の移動や日々の食生活の思わぬ変化により、装置が変形することがあります。そのため内頬を傷つけることがまれにあります。その場合はワイヤーの調整やカットを随時行います。
- 硬い食べ物や繊維質の食べ物は、装置が外れたり壊れたりすることがあります。装置への負担の関係からできるだけ気にかけて食事を摂るようにしてください。
- 矯正治療後は個人差がありますが、歯が後戻りすることがあります(移動した歯は元の位置に戻ろうとします)。そのため治療終了後もリテーナー(保定装置)を正しくつけることが必要です。
14歳8ヶ月:男性 治療期間:1年6ヶ月 治療回数:18回














上の歯が出ているのを気にされて来院した14歳8か月の男性です。上顎左右側小臼歯2本を抜歯してマルチブラケット治療を行いました。マルチブラケット治療期間は1年6か月で、歯並び・かみ合わせとも良好に改善しました。
| 主訴 | 出っ歯 |
|---|---|
| 診断 | 上顎前突 |
| 初診時年齢・性別 | 14歳8か月・男性 |
| 使用した主な装置 | マルチブラケット装置 |
| 抜歯/非抜歯 および抜歯部位 |
上顎小臼歯2本 |
| 治療期間 | 1年6か月 18回 |
| 費用 | 700,000円(税別) |
リスク・副作用
- 矯正治療中は歯ブラシが煩雑なので、虫歯や歯周病(歯肉炎)のリスクが伴います。(クリニックでのブラッシング指導、ご本人のハミガキを日々しっかり行っていただく必要があります)
- 一般歯科医師による(かかりつけ医)虫歯の定期検診やフッ素塗布などをお勧めします。
- 永久歯の矯正治療では治療中に歯根吸収や歯茎退縮が生じる場合があります。
- 歯の移動や日々の食生活の思わぬ変化により、装置が変形することがあります。そのため内頬を傷つけることがまれにあります。その場合はワイヤーの調整やカットを随時行います。
- 硬い食べ物や繊維質の食べ物は、装置が外れたり壊れたりすることがあります。装置への負担の関係からできるだけ気にかけて食事を摂るようにしてください。
- 矯正治療後は個人差がありますが、歯が後戻りすることがあります(移動した歯は元の位置に戻ろうとします)。そのため治療終了後もリテーナー(保定装置)を正しくつけることが必要です。
15歳9ヶ月:女性 治療期間:1年7ヶ月 治療回数:23回










上下のかみ合わせの悪さを気にされて来院した15歳9か月の女性です。下顎左右側小臼歯2本を抜歯してマルチブラケット治療を行いました。マルチブラケット治療期間は1年7か月で、歯並び・かみ合わせとも良好に改善しました。
| 主訴 | 開咬 |
|---|---|
| 診断 | 下顎前突・開咬 |
| 初診時年齢・性別 | 15歳9か月・女性 |
| 使用した主な装置 | マルチブラケット装置 |
| 抜歯/非抜歯 および抜歯部位 |
下顎小臼歯2本 |
| 治療期間 | 1年7か月 23回 |
| 費用 | 750,000円(税別) |
リスク・副作用
- 矯正治療中は歯ブラシが煩雑なので、虫歯や歯周病(歯肉炎)のリスクが伴います。(クリニックでのブラッシング指導、ご本人のハミガキを日々しっかり行っていただく必要があります)
- 一般歯科医師による(かかりつけ医)虫歯の定期検診やフッ素塗布などをお勧めします。
- 永久歯の矯正治療では治療中に歯根吸収や歯茎退縮が生じる場合があります。
- 歯の移動や日々の食生活の思わぬ変化により、装置が変形することがあります。そのため内頬を傷つけることがまれにあります。その場合はワイヤーの調整やカットを随時行います。
- 硬い食べ物や繊維質の食べ物は、装置が外れたり壊れたりすることがあります。装置への負担の関係からできるだけ気にかけて食事を摂るようにしてください。
- 矯正治療後は個人差がありますが、歯が後戻りすることがあります(移動した歯は元の位置に戻ろうとします)。そのため治療終了後もリテーナー(保定装置)を正しくつけることが必要です。
18歳11ヶ月:女性 治療期間:1年8ヶ月 治療回数:24回














歯のガタガタを気にされて来院した18歳11か月の女性です。上下顎左右側小臼歯4本を抜歯してマルチブラケット治療を行いました。マルチブラケット治療期間は1年8か月で、歯並び・かみ合わせとも良好に改善しました。
| 主訴 | ガタガタ |
|---|---|
| 診断 | 叢生 |
| 初診時年齢・性別 | 18歳11か月・女性 |
| 使用した主な装置 | マルチブラケット装置 |
| 抜歯/非抜歯 および抜歯部位 |
上下顎小臼歯4本 |
| 治療期間 | 1年8か月 22回 |
| 費用 | 750,000円(税別) |
リスク・副作用
- 矯正治療中は歯ブラシが煩雑なので、虫歯や歯周病(歯肉炎)のリスクが伴います。(クリニックでのブラッシング指導、ご本人のハミガキを日々しっかり行っていただく必要があります)
- 一般歯科医師による(かかりつけ医)虫歯の定期検診やフッ素塗布などをお勧めします。
- 永久歯の矯正治療では治療中に歯根吸収や歯茎退縮が生じる場合があります。
- 歯の移動や日々の食生活の思わぬ変化により、装置が変形することがあります。そのため内頬を傷つけることがまれにあります。その場合はワイヤーの調整やカットを随時行います。
- 硬い食べ物や繊維質の食べ物は、装置が外れたり壊れたりすることがあります。装置への負担の関係からできるだけ気にかけて食事を摂るようにしてください。
- 矯正治療後は個人差がありますが、歯が後戻りすることがあります(移動した歯は元の位置に戻ろうとします)。そのため治療終了後もリテーナー(保定装置)を正しくつけることが必要です。
18歳2ヶ月:女性 治療期間:1年8ヶ月 治療回数:24回














上下の歯の突出を気にされて来院した18歳2か月の女性です。上下顎左右側小臼歯4本を抜歯してマルチブラケット治療を行いました。マルチブラケット治療期間は1年9か月で、歯並び・かみ合わせとも良好に改善しました。
| 主訴 | 口ゴボ |
|---|---|
| 診断 | 上下顎前突 |
| 初診時年齢・性別 | 18歳2か月・女性 |
| 使用した主な装置 | マルチブラケット装置 |
| 抜歯/非抜歯 および抜歯部位 |
上下顎小臼歯4本 |
| 治療期間 | 1年8か月 24回 |
| 費用 | 750,000円(税別) |
リスク・副作用
- 矯正治療中は歯ブラシが煩雑なので、虫歯や歯周病(歯肉炎)のリスクが伴います。(クリニックでのブラッシング指導、ご本人のハミガキを日々しっかり行っていただく必要があります)
- 一般歯科医師による(かかりつけ医)虫歯の定期検診やフッ素塗布などをお勧めします。
- 永久歯の矯正治療では治療中に歯根吸収や歯茎退縮が生じる場合があります。
- 歯の移動や日々の食生活の思わぬ変化により、装置が変形することがあります。そのため内頬を傷つけることがまれにあります。その場合はワイヤーの調整やカットを随時行います。
- 硬い食べ物や繊維質の食べ物は、装置が外れたり壊れたりすることがあります。装置への負担の関係からできるだけ気にかけて食事を摂るようにしてください。
- 矯正治療後は個人差がありますが、歯が後戻りすることがあります(移動した歯は元の位置に戻ろうとします)。そのため治療終了後もリテーナー(保定装置)を正しくつけることが必要です。
10歳7ヶ月:女性 治療期間:1年6ヶ月 治療回数:24回










八重歯を気にされて来院した10歳7か月の女性です。1年半ほど小児矯正治療を行った後、上下顎左右側小臼歯4本を抜歯してマルチブラケット治療を行いました。マルチブラケット治療期間は1年6か月で、歯並び・かみ合わせとも良好に改善しました。
| 主訴 | 上の歯のガタガタ |
|---|---|
| 診断 | 上下顎叢生 |
| 初診時年齢・性別 | 10歳7か月・女性 |
| 使用した主な装置 | マルチブラケット装置 |
| 抜歯/非抜歯 および抜歯部位 |
上下顎小臼歯4本 |
| 治療期間 | 1年6か月 24回 |
| 費用 | 700,000円(税別) |
リスク・副作用
- 矯正治療中は歯ブラシが煩雑なので、虫歯や歯周病(歯肉炎)のリスクが伴います。(クリニックでのブラッシング指導、ご本人のハミガキを日々しっかり行っていただく必要があります)
- 一般歯科医師による(かかりつけ医)虫歯の定期検診やフッ素塗布などをお勧めします。
- 永久歯の矯正治療では治療中に歯根吸収や歯茎退縮が生じる場合があります。
- 歯の移動や日々の食生活の思わぬ変化により、装置が変形することがあります。そのため内頬を傷つけることがまれにあります。その場合はワイヤーの調整やカットを随時行います。
- 硬い食べ物や繊維質の食べ物は、装置が外れたり壊れたりすることがあります。装置への負担の関係からできるだけ気にかけて食事を摂るようにしてください。
- 矯正治療後は個人差がありますが、歯が後戻りすることがあります(移動した歯は元の位置に戻ろうとします)。そのため治療終了後もリテーナー(保定装置)を正しくつけることが必要です。
11歳1ヶ月:女性 治療期間:1年4ヶ月 治療回数:18回














上のすきっ歯を気にされて来院した11歳1か月の女性です。下顎左右側小臼歯2本を抜歯してマルチブラケット治療を行いました。マルチブラケット治療期間は1年4か月で、歯並び・かみ合わせとも良好に改善しました。
| 主訴 | 上の歯のすきま |
|---|---|
| 診断 | 骨格性下顎前突による上顎空隙歯列 |
| 初診時年齢・性別 | 11歳1か月・女性 |
| 使用した主な装置 | マルチブラケット装置 |
| 抜歯/非抜歯 および抜歯部位 |
下顎小臼歯2本 |
| 治療期間 | 1年4か月 18回 |
| 費用 | 700,000円(税別) |
リスク・副作用
- 矯正治療中は歯ブラシが煩雑なので、虫歯や歯周病(歯肉炎)のリスクが伴います。(クリニックでのブラッシング指導、ご本人のハミガキを日々しっかり行っていただく必要があります)
- 一般歯科医師による(かかりつけ医)虫歯の定期検診やフッ素塗布などをお勧めします。
- 永久歯の矯正治療では治療中に歯根吸収や歯茎退縮が生じる場合があります。
- 歯の移動や日々の食生活の思わぬ変化により、装置が変形することがあります。そのため内頬を傷つけることがまれにあります。その場合はワイヤーの調整やカットを随時行います。
- 硬い食べ物や繊維質の食べ物は、装置が外れたり壊れたりすることがあります。装置への負担の関係からできるだけ気にかけて食事を摂るようにしてください。
- 矯正治療後は個人差がありますが、歯が後戻りすることがあります(移動した歯は元の位置に戻ろうとします)。そのため治療終了後もリテーナー(保定装置)を正しくつけることが必要です。
15歳2ヶ月:女性 治療期間:1年7ヶ月 治療回数:20回














出っ歯と上の歯のガタガタを気にされて来院した15歳2か月の女性です。上顎左右側小臼歯2本を抜歯してマルチブラケット治療を行いました。マルチブラケット治療期間は1年7か月で、歯並び・かみ合わせとも良好に改善しました。
| 主訴 | 上の歯が出ていてガタガタ |
|---|---|
| 診断 | 上顎前突・叢生 |
| 初診時年齢・性別 | 15歳2か月・女性 |
| 使用した主な装置 | マルチブラケット装置 |
| 抜歯/非抜歯 および抜歯部位 |
上顎小臼歯2本 |
| 治療期間 | 1年7か月 20回 |
| 費用 | 750,000円(税別) |
リスク・副作用
- 矯正治療中は歯ブラシが煩雑なので、虫歯や歯周病(歯肉炎)のリスクが伴います。(クリニックでのブラッシング指導、ご本人のハミガキを日々しっかり行っていただく必要があります)
- 一般歯科医師による(かかりつけ医)虫歯の定期検診やフッ素塗布などをお勧めします。
- 永久歯の矯正治療では治療中に歯根吸収や歯茎退縮が生じる場合があります。
- 歯の移動や日々の食生活の思わぬ変化により、装置が変形することがあります。そのため内頬を傷つけることがまれにあります。その場合はワイヤーの調整やカットを随時行います。
- 硬い食べ物や繊維質の食べ物は、装置が外れたり壊れたりすることがあります。装置への負担の関係からできるだけ気にかけて食事を摂るようにしてください。
- 矯正治療後は個人差がありますが、歯が後戻りすることがあります(移動した歯は元の位置に戻ろうとします)。そのため治療終了後もリテーナー(保定装置)を正しくつけることが必要です。
23歳1ヶ月:女性 治療期間:2年1ヶ月 治療回数:26回














上下の歯の突出とガタガタを気にされて来院した23歳1か月の女性です。上下顎左右側小臼歯4本を抜歯してマルチブラケット治療を行いました。マルチブラケット治療期間は2年1か月で、歯並び・かみ合わせとも良好に改善しました。
| 主訴 | 口が閉じられない・上下の歯がガタガタ |
|---|---|
| 診断 | 上下顎前突・叢生 |
| 初診時年齢・性別 | 23歳1か月・女性 |
| 使用した主な装置 | マルチブラケット装置 |
| 抜歯/非抜歯 および抜歯部位 |
上顎小臼歯4本 |
| 治療期間 | 2年1か月 26回 |
| 費用 | 750,000円(税別) |
リスク・副作用
- 矯正治療中は歯ブラシが煩雑なので、虫歯や歯周病(歯肉炎)のリスクが伴います。(クリニックでのブラッシング指導、ご本人のハミガキを日々しっかり行っていただく必要があります)
- 一般歯科医師による(かかりつけ医)虫歯の定期検診やフッ素塗布などをお勧めします。
- 永久歯の矯正治療では治療中に歯根吸収や歯茎退縮が生じる場合があります。
- 歯の移動や日々の食生活の思わぬ変化により、装置が変形することがあります。そのため内頬を傷つけることがまれにあります。その場合はワイヤーの調整やカットを随時行います。
- 硬い食べ物や繊維質の食べ物は、装置が外れたり壊れたりすることがあります。装置への負担の関係からできるだけ気にかけて食事を摂るようにしてください。
- 矯正治療後は個人差がありますが、歯が後戻りすることがあります(移動した歯は元の位置に戻ろうとします)。そのため治療終了後もリテーナー(保定装置)を正しくつけることが必要です。
54歳2ヶ月:女性 治療期間:1年4ヶ月 治療回数:21回














上の歯の突出と上下のガタガタを気にされて来院した54歳2か月の女性です。上下顎左右側小臼歯4本を抜歯してマルチブラケット治療を行いました。マルチブラケット治療期間は1年4か月で、歯並び・かみ合わせとも良好に改善しました。
| 主訴 | 上下の歯がガタガタ |
|---|---|
| 診断 | 上下顎前突・叢生 |
| 初診時年齢・性別 | 54歳2か月・女性 |
| 使用した主な装置 | マルチブラケット装置 |
| 抜歯/非抜歯 および抜歯部位 |
上顎小臼歯4本 |
| 治療期間 | 1年4か月 21回 |
| 費用 | 750,000円(税別) |
リスク・副作用
- 矯正治療中は歯ブラシが煩雑なので、虫歯や歯周病(歯肉炎)のリスクが伴います。(クリニックでのブラッシング指導、ご本人のハミガキを日々しっかり行っていただく必要があります)
- 一般歯科医師による(かかりつけ医)虫歯の定期検診やフッ素塗布などをお勧めします。
- 永久歯の矯正治療では治療中に歯根吸収や歯茎退縮が生じる場合があります。
- 歯の移動や日々の食生活の思わぬ変化により、装置が変形することがあります。そのため内頬を傷つけることがまれにあります。その場合はワイヤーの調整やカットを随時行います。
- 硬い食べ物や繊維質の食べ物は、装置が外れたり壊れたりすることがあります。装置への負担の関係からできるだけ気にかけて食事を摂るようにしてください。
- 矯正治療後は個人差がありますが、歯が後戻りすることがあります(移動した歯は元の位置に戻ろうとします)。そのため治療終了後もリテーナー(保定装置)を正しくつけることが必要です。
12歳11ヶ月:女性 治療期間:1年6ヶ月 治療回数:19回














上の歯の突出を気にされて来院した12歳11か月の女性です。上顎左右側小臼歯2本を抜歯してマルチブラケット治療を行いました。マルチブラケット治療期間は1年6か月で、歯並び・かみ合わせとも良好に改善しました。
| 主訴 | 出っ歯 |
|---|---|
| 診断 | 上顎前突 |
| 初診時年齢・性別 | 12歳11か月・女性 |
| 使用した主な装置 | マルチブラケット装置 |
| 抜歯/非抜歯 および抜歯部位 |
上顎小臼歯2本 |
| 治療期間 | 1年6か月 19回 |
| 費用 | 700,000円(税別) |
リスク・副作用
- 矯正治療中は歯ブラシが煩雑なので、虫歯や歯周病(歯肉炎)のリスクが伴います。(クリニックでのブラッシング指導、ご本人のハミガキを日々しっかり行っていただく必要があります)
- 一般歯科医師による(かかりつけ医)虫歯の定期検診やフッ素塗布などをお勧めします。
- 永久歯の矯正治療では治療中に歯根吸収や歯茎退縮が生じる場合があります。
- 歯の移動や日々の食生活の思わぬ変化により、装置が変形することがあります。そのため内頬を傷つけることがまれにあります。その場合はワイヤーの調整やカットを随時行います。
- 硬い食べ物や繊維質の食べ物は、装置が外れたり壊れたりすることがあります。装置への負担の関係からできるだけ気にかけて食事を摂るようにしてください。
- 矯正治療後は個人差がありますが、歯が後戻りすることがあります(移動した歯は元の位置に戻ろうとします)。そのため治療終了後もリテーナー(保定装置)を正しくつけることが必要です。
11歳7ヶ月:女性 治療期間:2年0ヶ月 治療回数:27回














上の歯の突出を気にされて来院した9歳11か月の女性です。小児矯正治療を1年半行った後、11歳7か月時に上下顎左右側小臼歯4本を抜歯してマルチブラケット治療を行いました。マルチブラケット治療期間は2年0か月で、歯並び・かみ合わせとも良好に改善しました。
| 主訴 | 出っ歯 |
|---|---|
| 診断 | 上顎前突・叢生 |
| 初診時年齢・性別 | 11歳7か月・女性 |
| 使用した主な装置 | マルチブラケット装置 |
| 抜歯/非抜歯 および抜歯部位 |
上下顎小臼歯4本 |
| 治療期間 | 2年0か月 27回 |
| 費用 | 700,000円(税別) |
リスク・副作用
- 矯正治療中は歯ブラシが煩雑なので、虫歯や歯周病(歯肉炎)のリスクが伴います。(クリニックでのブラッシング指導、ご本人のハミガキを日々しっかり行っていただく必要があります)
- 一般歯科医師による(かかりつけ医)虫歯の定期検診やフッ素塗布などをお勧めします。
- 永久歯の矯正治療では治療中に歯根吸収や歯茎退縮が生じる場合があります。
- 歯の移動や日々の食生活の思わぬ変化により、装置が変形することがあります。そのため内頬を傷つけることがまれにあります。その場合はワイヤーの調整やカットを随時行います。
- 硬い食べ物や繊維質の食べ物は、装置が外れたり壊れたりすることがあります。装置への負担の関係からできるだけ気にかけて食事を摂るようにしてください。
- 矯正治療後は個人差がありますが、歯が後戻りすることがあります(移動した歯は元の位置に戻ろうとします)。そのため治療終了後もリテーナー(保定装置)を正しくつけることが必要です。
10歳7か月:女性 治療期間:1年6か月 治療回数:21回










八重歯を気にされて来院した10歳7か月の女性です。小児矯正治療を6か月行った後、11歳2か月時に上下顎左右側小臼歯4本を抜歯してマルチブラケット治療を行いました。マルチブラケット治療期間は1年6か月で、歯並び・かみ合わせとも良好に改善しました。
| 主訴 | 八重歯 |
|---|---|
| 診断 | 叢生 |
| 初診時年齢・性別 | 10歳7か月・女性 |
| 使用した主な装置 | マルチブラケット装置 |
| 抜歯/非抜歯 および抜歯部位 |
上下顎小臼歯4本 |
| 治療期間 | 1年6か月 21回 |
| 費用 | 700,000円(税別) |
リスク・副作用
- 矯正治療中は歯ブラシが煩雑なので、虫歯や歯周病(歯肉炎)のリスクが伴います。(クリニックでのブラッシング指導、ご本人のハミガキを日々しっかり行っていただく必要があります)
- 一般歯科医師による(かかりつけ医)虫歯の定期検診やフッ素塗布などをお勧めします。
- 永久歯の矯正治療では治療中に歯根吸収や歯茎退縮が生じる場合があります。
- 歯の移動や日々の食生活の思わぬ変化により、装置が変形することがあります。そのため内頬を傷つけることがまれにあります。その場合はワイヤーの調整やカットを随時行います。
- 硬い食べ物や繊維質の食べ物は、装置が外れたり壊れたりすることがあります。装置への負担の関係からできるだけ気にかけて食事を摂るようにしてください。
- 歯は元の位置に戻ろうとします)。そのため治療終了後もリテーナー(保定装置)を正しくつけることが必要です。
~矯正歯科治療に伴う一般的なリスクや副作用について~
- 最初は矯正装置による不快感、痛み等があります。数日間~1、2週間で慣れることが多いです。
- 歯の動き方には個人差があります。そのため、予想された治療期間が延長する可能性があります。
- 装置の使用状況、顎間ゴムの使用状況、定期的な通院等、矯正治療には患者さんの協力が非常に重要であり、それらが治療結果や治療期間に影響します。
- 治療中は、装置が付いているため歯が磨きにくくなります。むし歯や歯周病のリスクが高まりますので、丁寧に磨いたり、定期的なメンテナンスを受けたりする事が重要です。また、歯が動くと隠れていた虫歯が見えるようになることもあります。
- 歯を動かすことにより歯根が吸収して短くなることがあります。また、歯ぐきがやせて下がることがあります。
- ごくまれに歯が骨と癒着していて歯が動かないことがあります。
- ごくまれに歯を動かすことで神経が障害を受けて壊死することがあります。
- 治療途中に金属等のアレルギー症状が出ることがあります。
- 治療中に「顎関節で音が鳴る、あごが痛い、口が開けにくい」などの顎関節症状が出ることがあります。
- 様々な問題により、当初予定した治療計画を変更する可能性があります。
- 歯の形を修正したり、噛み合わせの微調整を行ったりする可能性があります。
- 矯正装置を誤飲する可能性があります。
- 装置を外す時に、エナメル質に微小な亀裂が入る可能性や、かぶせ物(補綴物)の一部が破損する可能性があります。
- 装置が外れた後、保定装置を指示通り使用しないと後戻りが生じる可能性が高くなります。
- 装置が外れた後、現在の噛み合わせにあった状態のかぶせ物(補綴物)やむし歯の治療(修復物)などをやりなおす可能性があります。
- あごの成長発育によりかみ合わせや歯並びが変化する可能性があります。
- 治療後に親知らずが生えて、凸凹が生じる可能性があります。加齢や歯周病等により歯を支えている骨がやせるとかみ合わせや歯並びが変化することがあります。その場合、再治療等が必要になる事があります。
- 矯正歯科治療は、一度始めると元の状態に戻す事は難しくなります。
